Research solutions
Learn more about our digital image analysis solutions for pathology research.
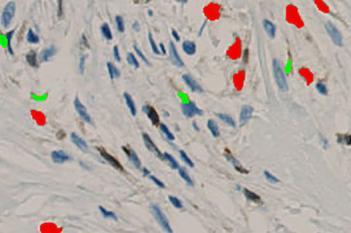
Our APP Center holds over 130 modular analysis units, each designed to solve a specific problem using our tissue image analysis software. Our vast range of APPs cover all tissue, stain and modality types.
Save time by using the APPs as a starting point for developing and enhancing your specific workflows.
Request a demo to see how it works.
Learn more about our digital image analysis solutions for pathology research.
Learn more about our digital image analysis solutions for pathology diagnostics.
Talk to our specialists to get answers to your questions.