MET, Cell Lines, Cancer MET, Cell Lines, Cancer

Process APP

Revert

#10083

RUO

MET, Cell Lines, Cancer

The availability of genetically defined reference materials, offers an industry standard for development and quality control of IHC assays, directly, thereby improving the accuracy and reproducibility.
IHC HDx™ Reference Standards provide laboratories with a consistent source of positive and negative reference material on one slide.

CELL LINE DETAILS
MET amplification has a strong cytoplasmic and membrane staining pattern in the positive core. Intermediate cytoplasmic and membrane staining pattern in the intermediate core. No cytoplasmic and membrane staining pattern is observed in the negative core (Cell Signalling, D1C2, #8198 on the Automated Leica BOND stainer).

ANALYSIS DETAILS
The MET analysis algorithms for ONCOtopix®, supports the analyzer in obtaining accurate, precise quantification of biomarker expression for MET amplification. The APP can be configured to provide positive ratio or H-Score. Based on the H-score output, it is possible to Identify the negative, intermediate and positively reacting cores.

The combination of IHC HDx™ Cell lines and the ONCOtopix with the MET APP, provides the basis of a high quality regent QC system.

Figure 1

Figure 1

Positive cell line core, with strong cytoplasmic granular staining pattern.

Figure 2

Figure 2

The image from FIGURE 1, analyzed with the MET APP. Strong positive nuclei (3+) are labeled red, intermediate (2+) orange, weak (1+) yellow, and negative blue.

Figure 3

Figure 3

Intermediate cell line core, demonstrating a variation of staining.

Figure 4

Figure 4

Analysed intermediate cell line core in FIGURE 3 demonstrating the detection of the varying staining intensity. Strong positive nuclei (3+) are labeled red, intermediate (2+) orange, weak (1+) yellow, and negative blue.

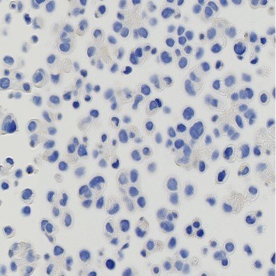
Figure 5

Figure 5

Negative cell line core.

Figure 6

Figure 6

Analysed negative cell line core in FIGURE 5.

Show more

Details

Additional information

Defined cores containing positive and negative protein expressing cell lines on the same slide, provides a source of renewable and consistent point of reference when optimizing and monitoring the performance of an IHC assay.

The availability of genetically defined reference materials, offers an industry standard for development and quality control of IHC assays, directly.

Success
Your message has been successfully sent!
Contact us

We are always ready to answer your questions

Helena Nygaard Regev
Agern Allé 24
2970 Hoersholm, DK
8181 Arista Pl., Suite 100
Broomfield, CO 80021
Broomfield, CO 80021
Broomfield, CO 80021