ALK, Cell Lines, Cancer ALK, Cell Lines, Cancer

Process APP

Revert

#10081

RUO

ALK, Cell Lines, Cancer

The availability of genetically defined reference materials, offers an industry standard for development and quality control of IHC assays, directly, thereby improving the accuracy and reproducibility.
IHC HDx™ Reference Standards provide laboratories with a consistent source of positive and negative reference material on one slide.

CELL LINE DETAILS
taining Pattern of ALK Translocation: Strong cytoplasmic granular staining pattern observed in the positive cell line core. No cytoplasmic, granular staining pattern observed in the negative cell line core. Stained on the Automated Leica BOND stainer (Cell Signalling, D5F3, #3633).

ANALYSIS DETAILS
The ALK analysis algorithm for ONCOtopix®, supports the analyzer in obtaining accurate, precise quantification of biomarker expression for ALK translocation. The APP can be configured to provide positive ratio or H-Score. Based on the H-score output, it is possible to Identify the negative, intermediate and positively reacting cores.
The combination of IHC HDx™ Cell lines and the ONCOtopix with the ALK APP, provides the basis of a high quality regent QC system.

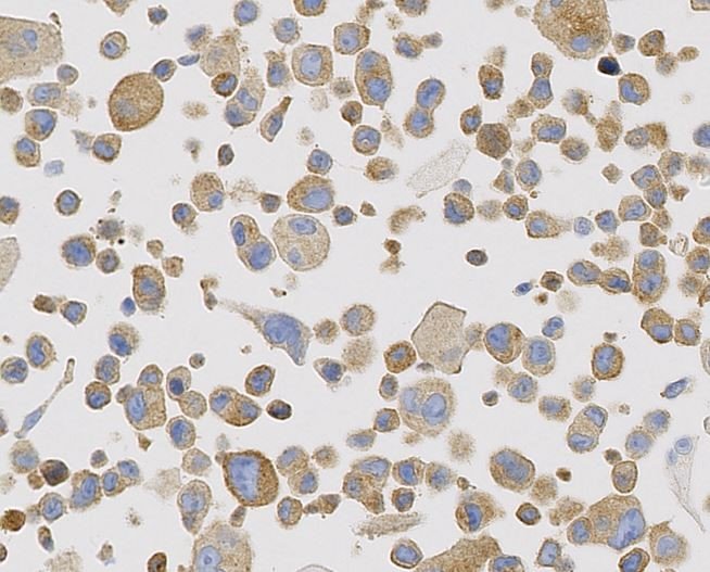
Figure 1

Figure 1

Positive cell line core, with strong cytoplasmic granular staining pattern.

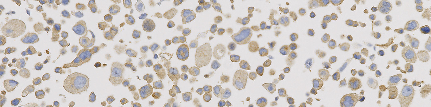
Figure 2

Figure 2

The image from FIGURE 1, analyzed with the ALK APP. Strong positive nuclei (3+) are labeled red, intermediate (2+) orange, weak (1+) yellow, and negative blue.

Figure 3

Figure 3

Negative cell line core, with only negative nuclei.

Figure 4

Figure 4

The analysis of the negative cell line core in FIGURE 3 using the ALK APP.

Details

Additional information

Defined cores containing positive and negative protein expressing cell lines on the same slide, provides a source of renewable and consistent point of reference when optimizing and monitoring the performance of an IHC assay.

The availability of genetically defined reference materials, offers an industry standard for development and quality control of IHC assays, directly.

Success
Your message has been successfully sent!
Contact us

We are always ready to answer your questions

Helena Nygaard Regev
Agern Allé 24
2970 Hoersholm, DK
8181 Arista Pl., Suite 100
Broomfield, CO 80021
Broomfield, CO 80021
Broomfield, CO 80021