Metastasis Detection, AI Metastasis Detection, AI

Process APP

Revert

#90159

CE-IVD

Metastasis Detection, AI

Certified under IVDR

AI/deep learning-assisted metastasis detection in Lymph nodes – simplifying lymph node assessment.

Metastases in the lymph nodes are a significant indicator of cancer progression, which makes detection critical for treatment decisions. For lymph node assessment pathologists must review many slides per patient which amounts to a significant workload.

Visiopharm has developed a CE IVD certified AI deep learning application that has been trained to detect metastases in H&E stained lymph nodes associated with breast and colorectal adenocarcinoma.

This highly accurate APP enables pathologists to not only detect areas of metastases in lymph nodes. It also measures and orders metastases based on relevant features for either breast or colorectal cancer metastasis (largest metastasis diameter or total area of metastasis).

Verified with clinical samples, the Metastasis Detection APP improves a tedious workflow, and results in improved sensitivity and specificity of metastasis detection in lymph nodes from colorectal and breast adenocarcinoma.

In EU/UK: CE IVD – for use in diagnostic procedures

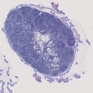
Figure 1

Figure 1

All relevant lymph node tissue is automatically outlined (in purple) for further analysis.

Figure 2

Figure 2

Metastases are identified as High Probability (red), Medium Probability (orange), Low Probability (yellow) and the largest is highlighted and measured.

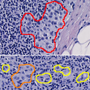
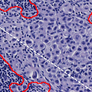
Figure 3

Figure 3

Zooming in, the largest metastasis is reviewed in detail.

Figure 4

Figure 4

The remaining metastases in the image are reviewed as necessary, showing High Probability (red), Medium Probability (orange) and Low Probability (yellow).

Figure 5

Figure 5

The APP also identifies metastases in lymph nodes associated with colon adenocarcinoma and is robust against H&E stain variations.

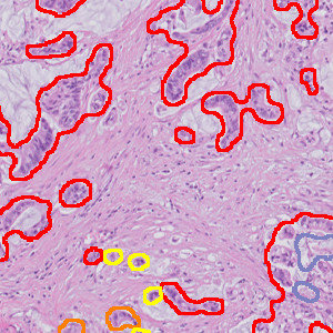
Figure 6

Figure 6

The metastases are outlined showing High Probability (red), Medium Probability (orange) and Low Probability (yellow).

Show more

Details

Benefits from AI-assisted Metastasis detection in your diagnosis workflow

  • Multi-indication:
    Verified on breast and colorectal data from 3 clinical sites for CE IVD certification
  • Improved results:
    Increased detection sensitivity compared to manual methods
  • Efficient:
    Automated slide sorting based on indication specific output

Summary of clinical performance results

Workflow

Visiopharm’s Metastasis Detection APP for whole slide images can easily be integrated into your workflow to become a potential time saver in your review process.

Related APPs

Success
Your message has been successfully sent!
Contact us

We are always ready to answer your questions

Helena Nygaard Regev
Agern Allé 24
2970 Hoersholm, DK
8181 Arista Pl., Suite 100
Broomfield, CO 80021
Broomfield, CO 80021
Broomfield, CO 80021