Minerva Imaging and Visiopharm announce collaboration on AI-based image analysis
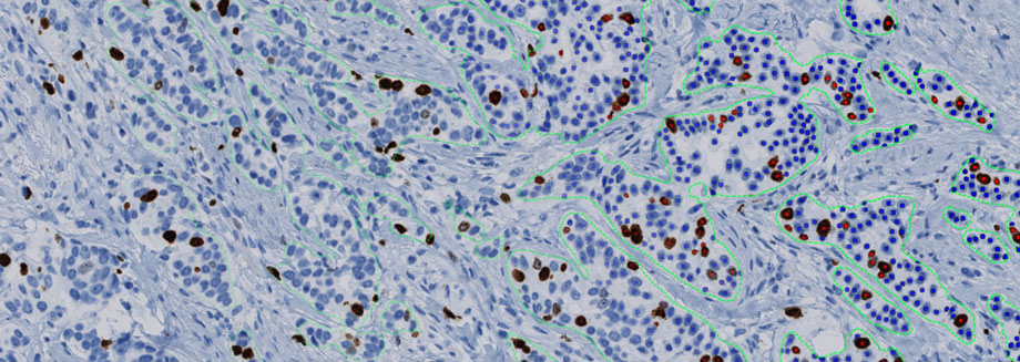
Visiopharm and Minerva Imaging have announced a collaboration on development of sophisticated AI-based image analysis applications in histology. Visiopharm’s AI-driven Oncotopix® platform has the potential to play a crucial role in developing powerful new predictive assays. The main focus within Minerva Imaging will be on targeted radionuclide therapy and immuno-oncology, enabling to gauge the effectiveness of interventions and making data-driven decisions.
Targeted radionuclide therapy
Targeted radionuclide therapy is a form of precision medicine where a radioactive substance is attached to a targeting moiety. It is administered through the body to specifically target cancer cells and irradiate them. The efficacy of these treatments can be determined by the level of radio-induced DNA damage that it causes. In one of the first cooperative projects Minerva and Visiopharm will develop quantitative AI-based image analysis to assess this level of DNA damage.
Carsten H. Nielsen, CEO and co-founder of Minerva Imaging, said:
“Targeted radionuclide therapy has gained a lot of momentum in recent years in the oncology area. We are convinced that the development of powerful and highly accurate AI-based image analysis for determining the level of DNA damage and other aspects of therapeutic efficacy will be very valuable. We are committed to bringing this and a number of other AI-based applications to the market impacting the advancement of new, improved, and lifesaving drugs for seriously ill cancer patients.”
Michael Grunkin, co-founder and CEO of Visiopharm, said:
“We are excited to establish this strategic collaboration with Minerva to accelerate the development of new AI-based histology analysis in oncology. This collaboration will allow us to support an increasingly important precision medicine agenda.”
AI-driven image analysis
AI-driven precision pathology has the potential to play a crucial role in developing powerful new predictive assays. It provides a powerful tool for discovery of new biomarkers through the analysis of multiplexed image data, developing investigational devices for clinical trials, and developing scoring principles for novel tissue biomarkers. Moreover, it can aid in the development of image analysis for standardized and automated reading of increasingly complex biomarkers.
The Minerva-Visiopharm partnership will speed up the development of a toolbox for AI-driven precision pathology, enabling Pharma to accelerate clinical development by improving quantitative and qualitative assessments in hard-to-treat cancers.
About Minerva Imaging
Minerva Imaging is a scientifically driven CRO founded in 2011, and currently counting over 130 employees. The company focuses on the use of advanced models and molecular imaging for translational research and drug development. Minerva Imaging engages with its clients to understand their scientific questions and discuss how its methods and capabilities can provide answers. Minerva worked with over 100 global pharma and biotech companies.
Follow us on LinkedIn for the latest news updates or visit www.minervaimaging.com for more information.
About Visiopharm
Visiopharm® is a leading provider of AI-driven precision pathology software for research and diagnostics. In research, it is a technology leader providing tools that help scientists, pathologists, and image analysis experts produce accurate data for all types of tissue-based research. In diagnostics, it is a leader within clinical applications, with no less than eight diagnostic algorithms cleared under IVDR for EU and UK customers. These applications provide diagnostic decision support and can be easily activated and integrated into existing lab workflows.
Founded in 2002, Visiopharm is privately owned and operates internationally with over 750 customer accounts in more than 40 countries. The company’s headquarters are located in Denmark’s Medicon Valley, with offices in Sweden, the UK, Germany, the Netherlands, and the United States, and local representation in France and China.
Media enquiries
Eske Rygaard-Hjalsted
Senior Business Developer
erh@minervaimaging.com
+45 20 30 22 36
Johanne Louise Brændgaard
Chief Marketing Officer
jlb@visiopharm.com