Massachusetts General Hospital and Visiopharm enter collaborative research pilot
Visiopharm today announces that it will be entering into a research pilot with Massachusetts General Hospital (MGH) to investigate the use of AI-powered precision pathology solutions for quality assurance of immunohistochemistry (IHC) interpretations.
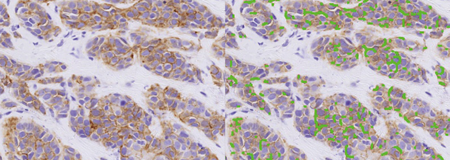
This research agreement will first focus on the utilization of Visiopharm’s AI-driven HER2 algorithm to review specimens in-tandem with traditional IHC and FISH testing. The algorithm has shown the potential to identify tumors with a so-called HER2-low status, a traditionally challenging group to identify through manual IHC interpretation.
A secondary phase of the agreement will aim to expand the research capabilities to other analysis algorithms, or APPs, in the Oncotopix software, which include additional breast cancer biomarkers like ER, PR, Ki67 and H&E metastasis. These APPs are already IVDR certified in Europe, where they are used in a clinical setting.
Martin Kristensson, SVP Clinical Strategy, Visiopharm said:
“The proper classification of HER2 status in stained tissue sections is critical to precision pathology and personalized medicine of cancer patients. Borderline cases require additional timely and costly assessments, including reflex, in situ hybridization (ISH) testing. This collaboration is another exciting milestone for Visiopharm, expanding our research work with leading institutions throughout the United States and Europe. Our AI-powered software solutions and APPs will support the robust needs and requirements of MGH throughout this pilot.”
Amanda Lowe, Managing Director, Americas, Visiopharm, said:
“This is another powerful example of research being applied to translate the value of AI-powered digital pathology; a critical need in driving greater value, efficiency, and precision into pathology. Dr. Lennerz has great passion and conviction to moving the digital pathology industry forward and we are proud to be collaborating with him and the team and MGH.
Dr. Jochen K. Lennerz, Medical Director, Center for Integrated Diagnostics, Massachusetts General Hospital:
“Precise interpretation is crucial – especially for identification of patients with HER2-low expressing tumors. These patients form an important subgroup that benefit from novel treatment strategies. The identification of this population has been traditionally challenging and in this research project, we aim to understand what computational tools could help improve identification of these patients.”
About Visiopharm
Visiopharm® is a world leader in AI-driven precision pathology software. Their pioneering image analysis tools support thousands of scientists, pathologists, and image analysis experts in academic institutions, biopharmaceutical industry, and diagnostic centers. AI-based image analysis and tissue mining tools support research and drug development research worldwide, while CE-IVD APPs provide decision support. With the most advanced and sophisticated artificial intelligence and deep learning, Visiopharm delivers tissue data mining tools, precision results, and workflows.
Visiopharm was founded in 2002 and is privately owned. The company operates internationally with over 750 customer accounts and countless users in more than 40 countries. The company headquarters are in Denmark’s Medicon Valley, with offices in Sweden, England, Germany, The Netherlands and United States.
For enquiries:
Johanne Louise Brændgaard
Chief Marketing Officer
jlb@visiopharm.com