Glint Lab’s Journey with Visiopharm Software
Welcome to our latest blog interview, where we spotlight Glint Lab, a full service histopathology and digital pathology lab located in San Diego, California. Today, we’re joined by three of their leading experts—Chief Scientific Officer Oanh Nguyen, Director of Image Analysis Jason Roberts, and Chief Executive Officer Misagh Naderi, to explore how they’re leveraging Visiopharm’s advanced image analysis software to address some of the most complex scientific questions.
In this insightful conversation, they share their experience implementing Visiopharm software, highlight key features that are driving their research forward, and showcase innovative ways they are using digital pathology to unlock new insights in the field.

Oanh Nguyen
Chief Scientific Officer at Glint Lab
I am a scientist with a strong background in histopathology and assay development/optimization for advanced tissue-based assays, including IHC or mIHC, immunofluorescence or mIF, and in situ hybridization, along with other advanced protein-RNA multiplex assays. My expertise lies in enhancing these assays to obtain actionable quantitative data and insights for scientific research. With experience working in both clinical diagnostic lab environments and the preclinical and discovery research space, I bring an understanding of both clinical and research-based applications and the needs of our clients, helping to design and develop assays from the earliest stages for potential clinical applications.

Jason Roberts
Director of Image Analysis at Glint Lab
I am a data scientist dedicated to advancing computational pathology and spatial biology through innovative machine learning solutions. Drawing on my deep experience in image analysis, I engineer computer vision algorithms and leverage statistical models to transform biological data into meaningful insights. Through my work, I strive to bridge the gap between data science techniques and biological research, ultimately contributing to more effective diagnostic tools and therapeutic strategies.

Misagh Naderi
Chief Executive Officer at Glint Lab
I began my career as an engineer before transitioning into biology, building a portfolio of research publications in molecular virology and computational biology. My experience extends to technology commercialization and IP law, particularly in life science technologies that integrate AI and machine learning. For the past three years, I’ve had the privilege of working on projects that blend technology, histology, and biology in innovative ways. As CEO of Glint Lab, I’m fortunate to collaborate with a team of experts focused on leveraging technology across the workflow and in image analysis to enhance quality and produce quantitative, actionable insights for research and clinical trials. My goal is to keep learning and contributing to advancements that lead to better treatments and improved patient outcomes.
Can you tell us a bit about Glint Lab and which services you are offering to your customers?
Misagh Naderi: Glint Lab is a full service histopathology and digital pathology laboratory based in San Diego, California. We are a team of seasoned lab and data scientists dedicated to revolutionizing preclinical and early drug discovery through our comprehensive suite of precision pathology services.
We pride ourselves on delivering high quality tissue processing, sectioning, histology, and cutting-edge image analysis services.
Unlike traditional labs, we view our relationship with clients as a partnership. We go beyond transactional services to foster meaningful collaborations that drive scientific discovery. For example, our clients can consult with us prior to project initiation in order to prepare the study design and the budget that relates to their histology and data analysis needs. Our clients’ success is our success, and we are committed to delivering the best data possible to fuel their research endeavors.
Since when have you been using Visiopharm and what led you to Visiopharm originally?
Jason Roberts: Visiopharm was among the first systems we integrated at the launch of Glint Lab earlier this year, but our team has extensive experience with the software. Visiopharm offers us the unparalleled ability to develop robust custom algorithms for a wide variety of image analysis applications, and to explore spatial data in ways that can not be done with comparable tools. In the rapidly evolving field of digital pathology, integrating Visiopharm’s AI-driven image analysis software is transforming our approach to understanding complex biological systems.
“Visiopharm offers us the unparalleled ability to develop robust custom algorithms for a wide variety of image analysis applications, and to explore spatial data in ways that can not be done with comparable tools.”

Which features of Visiopharm do you consider most impactful thus far?
Jason Roberts: We greatly value the platform’s cutting edge deep learning classifiers and neural network architectures which we employ for a multitude of image processing tasks. The professional and enhanced modules enable us to perform image preprocessing, automated array handling, image coregistration, and neural network parameter optimization for our most complex and challenging studies. The interactive data exploration tool is one of our favorite features and certainly sets Visiopharm apart. It empowers us to generate captivating, feature-rich visualizations to examine cellular relationships in context. This approach results in the deepest possible insights for our client’s tissue data – effectively driving informed decisions and propelling their research forward.
“The interactive data exploration tool is one of our favorite features and certainly sets Visiopharm apart.”
We also believe that cooperation and long term partnerships are fundamentally important to being successful in the dynamic biotechnology research industry. Visiopharm’s collaborative ethos and commitment to innovation in digital and computational pathology made choosing their tools a clear and easy decision. We appreciate the opportunity to work with the Visiopharm team, and look forward to testing out new features, providing feedback, and playing an active role in the continued development of their image analysis software.
Can you describe the process of implementing Visiopharm and how your experience has been working with our team?
Jason Roberts: Our experience with the Visiopharm team has been exceptional. We are very grateful to work with such an experienced, professional, and knowledgeable group of people. The folks we’ve worked with across professional services, sales, marketing, leadership, and engineering have been instrumental in implementing our image analysis services.
Jeni Caldara, Strategic Partnerships Manager, has been a considerable asset to our organization and has offered a plethora of strategies to both maximize and streamline our use of the software to best serve our clients needs. Brenna O’Neill, Application Support Specialist, has provided us with incredibly valuable training and onboarding sessions, and is always quick to respond with creative and effective solutions to our technical questions. Raymond Brandenburg, IT Solutions Architect, has supported us in the configuration of our powerful cloud computing environments, and advised our team on inventive IT integration practices. We look forward to expanding our relationship with the Visiopharm team as our organization continues to grow.

Which kinds of problems or questions of your customers can you address with Visiopharm?

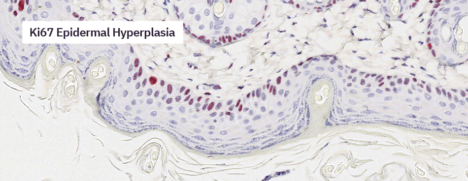
Oanh Nguyen: At Glint Lab, we use Visiopharm’s advanced image analysis software to tackle a wide range of challenges faced by our clients. From IHC/IF or mIHC/mIF to special stains to RNA ISH, we provide standard image analysis quantitative outputs and custom solutions. With Visiopharm, we excel in spatially resolved quantification, enabling us to perform complex analyses such as clustering, neighborhood mapping, proximity assessments, and evaluations of aggregation, infiltration, density, and dispersion. Our expertise spans multiple disease areas, including Toxicology (e.g., toxicity in rodent tissues), Oncology (e.g., tumor microenvironment analysis in human samples), Immunology (e.g., immune cell profiling in human, rodent and other tissues), Musculoskeletal disorders (e.g., Laminin/Dystrophin analysis in Duchenne Muscular Dystrophy (DMD) models, centralized nuclei analysis in muscular dystrophy X-linked mouse (mdx) models), Cardiometabolic diseases (e.g., adipose tissue analysis in pig models), Nephrology (e.g., glomerular assessments in human and rodent kidney tissues), NASH (e.g., fibrosis evaluation in rodent liver models), and more. We also have extensive expertise across various species and tissue types, including Rodents, NHP (Non-Human Primates), Pigs, Rabbits, Humans, Organoids, and others, ensuring that your data is examined with the most relevant biological context. Visiopharm’s APP center algorithms further enhance our capabilities, allowing for custom analysis and visualization that meet the specific needs of your project. Through this partnership, Glint Lab and Visiopharm empower you to gain deeper insights from your tissue samples, providing the robust, accurate, and actionable data needed to advance your research.
“With Visiopharm, we excel in spatially resolved quantification, enabling us to perform complex analyses such as clustering, neighborhood mapping, proximity assessments, and evaluations of aggregation, infiltration, density, and dispersion.”
Can you share some of the creative ways you use our software?
Jason Roberts: We deployed VIS in a powerful cloud environment which optimizes compute and storage while maintaining maximum usability for both our data scientists performing image analysis and our clients. Taking advantage of our unique cloud architecture, we’ve developed an advanced data analytics platform to be used by our clients and collaborators. Here’s how it works: we share a secure and easy-to-access VIS viewer with researchers who want to review their results and carry out granular downstream analysis using Visiopharm’s data exploration tools. Our advanced analytics platform powered by Visiopharm allows our clients, whether they are scientists, pathologists, or bioinformaticians, to efficiently review and investigate their data, elucidate spatial cellular relationships, and generate publication-ready visualizations.
We also leverage Visiopharm to engineer robust quality control and staining consistency assessment algorithms. Our team has developed APPs that automatically identify and exclude pre-analytical artifacts including: folds, blur, slide debris, out of focus areas, nonspecific staining, blood, and more. In addition, we’ve built tools to assess staining quality and consistency of H&E, IHC, and IF images through detailed evaluation of staining intensities across images or batches in a given project. These APPs are always deployed at the beginning of a study, and they are essential in maintaining our rigorous quality standards at Glint Lab.

We benefit from Visiopharm’s bidirectional integrations with other digital pathology software as well, including our image management system. We engage the integration to easily import newly-scanned samples into VIS with only a few clicks, as well as pathologist’s annotations for use as analysis ROIs or as input data for training new models.
“Visiopharm’s valuable tools and integrations drive substantial increases in productivity and enhance our overall customer experience.”

Can you describe the advantages of using your data analysis platform powered by Visiopharm?
Misagh Naderi: After analyzing the images and providing quantitative results, we share an easily accessible instance of Visiopharm with our clients. Here, they can further explore cutting edge algorithms such as clustering methods to dig deeper into the quantitative data that our expert image analysis team has extracted for them. We believe that providing high quality data together with Visiopharm’s tools to transform the data will allow our clients, who are experts in their respective fields, to come up with the best informed hypotheses for future studies. Again, our clients’ success is our success, and we extend all of our resources to make sure they get the most value out of their projects with us.

Can you give examples of exciting future applications for Visiopharm at Glint Lab?
Jason Roberts: We look forward to implementing Visiopharm to analyze more multiplex IHC and multiplex IF assays in order to dissect and examine intricate cellular interactions, phenotypes, and biomarker distributions. We also look forward to using Visiopharm’s comprehensive tools to interpret spatial transcriptomics data, allowing us to map gene expression patterns within their native tissue architecture and advance our knowledge in spatial biology. Next-generation neighborhood analysis tools further enable us to investigate microenvironmental interactions at a cellular level, revealing how cellular neighborhoods influence disease progression. Visiopharm’s image analysis solutions are transforming digital pathology, offering profound improvements in patient care, and paving the way for an exciting and optimistic future of personalized medicine. At Glint Lab, we are honored to be a part of this journey.
Wherever your research takes you, we will be there
Glint Lab’s success story is a testament to the power of integrating cutting-edge technology with scientific expertise to tackle challenging research questions. By combining Visiopharm’s powerful image analysis tools with their deep understanding of pathology and data science, they’re pushing the boundaries of what’s possible in preclinical and drug discovery research.
If you have any questions or would like to learn more about their work, feel free to reach out to the Glint Lab team directly at scientist@glintlab.com
To explore how Visiopharm can support your own research, contact us to learn more about our solutions and services.