Virtual 8-plex Multiplexing, Breast Cancer, TME Virtual 8-plex Multiplexing, Breast Cancer, TME

Process APP

Revert

#10141

RUO

Virtual 8-plex Multiplexing, Breast Cancer, TME

The widely used biomarkers for breast cancer: ER, PR, Ki-67, and HER2 are combined with four CD biomarkers (CD3, CD4, CD8, and CD20) in a virtual fluorescence 8-plex multiplex setting. Two serial sections are stained with the breast cancer biomarkers and CD biomarkers, respectively, and aligned using our patented Tissuealign™ module. While maintaining a 4-plex staining method, all 8 biomarkers are displayed simultaneously in the aligned image. Due to co-expressers, this assay yields a total of 12 different phenotypes that can all be detected with the “10141 – Virtual 8-plex Multiplexing, Breast Cancer, TME” APP.

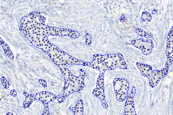
Figure 1

Figure 1

Breast cancer panel section of a tissue region.

Figure 2

Figure 2

CD panel section of the same tissue region as in FIGURE 1.

Figure 3

Figure 3

Stroma and tumor identification. Tumor regions are outlined by a white line.

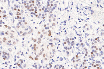
Figure 4

Figure 4

Microscopic view of stromal nuclei from the CD panel section.

Figure 5

Figure 5

Stromal nuclei from FIGURE 4 identified and classified using the APP. The nuclei are labeled as follows: Negative (green), CD3 positive (red), CD20 positive (yellow), CD4 positive (magenta), CD8 positive (cyan), CD3 and CD4 positive (purple), and CD3 and CD8 positive (mustard).

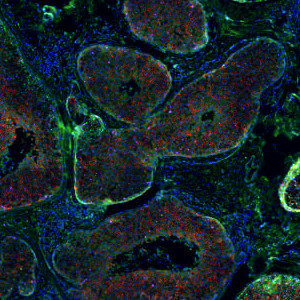
Figure 6

Figure 6

Microscopic view of tumor nuclei and HER2 stained membranes from the breast cancer panel section.

Figure 7

Figure 7

Tumor nuclei and HER2 stained membranes from FIGURE 6 identified and classified using the APP. HER2 positivity is labeled with red, and the nuclei are labeled as follows: Negative (green), ER positive (white), PR positive (orange), Ki-67 positive (pink), and ER+PR positive (purple).

Figure 8

Figure 8

All identified nuclei and membranes from both sections displayed on the breast cancer panel section.

Show more

Details

Auxiliary APPs

APP: “01 Detect Tumor and Stroma”
The auxiliary is used for automatic tumor detection. Some manual editing of ROIs may be necessary.

Quantitative Output variables

The output variables obtained from this protocol are:

CD PANEL

  • CD Neg (#) and (%): Number and percentage of CD negative cells
  • CD3+ (CD4- CD8-) (#) and (%): Number and percentage of cells that are CD3 single positive
  • CD4+ (CD3- CD8-) (#) and (%): Number and percentage of cells that are CD4 single positive
  • CD8+ (CD3- CD4-) (#) and (%): Number and percentage of cells that are CD8 single positive
  • CD20+ (#) and (%): Number and percentage of cells that are CD20 positive
  • CD3+CD4+ (#) and (%): Number and percentage of cells that are CD3 and CD4 double positive
  • CD3+CD8+ (#) and (%): Number and percentage of cells that are CD3 and CD8 double positive
  • CD3+ Total (#) and (%): Number and percentage of all CD3 positive cells
  • CD4+ Total (#) and (%): Number and percentage of all CD4 positive cells
  • CD8+ Total (#) and (%): Number and percentage of all CD8 positive cells
  • CD3+CD4+ out of CD3+ Total (%): Percentage of all CD3+ cells that are CD3+CD4+ double positive
  • CD3+CD8+ out of CD3+ Total (%): Percentage of all CD3+ cells that are CD3+CD8+ double positive
  • Total CD Cells (#): Total number of CD cells

Br PANEL

  • Br Neg (#) and (%): Number and percentage of negative cells
  • Ki-67+ (#) and (%): Number and percentage of Ki-67 positive cells
  • ER+ (PR-) (#) and (%): Number and percentage of cells that are ER single positive
  • PR+ (ER-) (#) and (%): Number and percentage of cells that are PR single positive
  • ER+PR+ (#) and (%): Number and percentage of cells that are ER and PR double positive
  • ER+ Total (#) and (%): Number and percentage of all ER positive cells
  • PR+ Total (#) and (%): Number and percentage of all PR positive cells
  • Total Tumor Cells (#): Total number of tumor cells
  • Connectivity: The connectivity of the membrane staining of HER2 pattern
  • Score: HER2 scoring (0-3) based on connectivity

Workflow

Step 1: Load and run the APP “01 Detect Tumor and Stroma” for tumor and stroma identification.

Step 2: Load and run the APP “02 Classify Stroma_CD Nuclei” for classification of nuclei based on fluorophores within stromal regions.

Step 3: Load and run the APP “03 Classify Tumor_Br Nuclei” for classification of nuclei based on fluorophores within tumor regions.

Step 4: Load and run the APP “04 Classify HER2” for the detection of HER2 positive cells within tumor regions.

Methods

The breast cancer (Br) and CD panel sections are aligned using the Tissuealign™ module, with the Br panel as channel 1 and CD panel as channel 2. Next the tumor and stroma regions are automatically identified and the nuclei within each compartment are detected. The stroma nuclei are detected based on the dapi color and shape on the CD panel section, while tumor nuclei are detected based on the dapi color and shape on the Br panel section. The detected nuclei are then classified based on their fluorophore intensity on the CD panel section (stroma nuclei) or the BR panel section (tumor nuclei). Finally, the tumor regions of the Br panel section are analyzed for HER2 positivity.

Staining Protocol

Cell IDX Ultraplex Multiplex Technology, see [1]. Cell IDx has developed an expanding range of next-generation, modified haptens which are used to label primary antibodies. Primary antibodies are combined in cocktails of four antibodies and then detected with a panel of anti-hapten secondary antibodies each labeled with a different fluor. The result is a simple two-hour, two-step staining procedure yielding the type of data previously impossible.

Keywords

CD3, CD8, CD4, CD20, HER2, ER, PR, Ki67, multiplex, co-registration, align, co-localization, image analysis, tumor micro environment, fluorescence

References

USERS
This APP was developed for David Schwartz, CEO and founder of Cell IDx, a San Diego based company revolutionizing multiplexing staining and biomarker detection in intact tissue. Images were provided by Cell IDx.

LITERATURE
1. Cell IDx, San Diego, California. Introducing UltraPlex Multiplexing Technology. Accessed: August 23, 2019.

Related APPs

Success
Your message has been successfully sent!
Contact us

We are always ready to answer your questions

Helena Nygaard Regev
Agern Allé 24
2970 Hoersholm, DK
8181 Arista Pl., Suite 100
Broomfield, CO 80021
Broomfield, CO 80021
Broomfield, CO 80021