TRIM29, Bladder Cancer TRIM29, Bladder Cancer

Process APP

Revert

#10015

RUO

TRIM29, Bladder Cancer

Tripartite motif-containing 29 (TRIM29) is a member of the TRIM protein family. TRIM29 expression has been shown to increase cell proliferation through the inhibition of p53 activity. TRIM29 binds p53, resulting in its export out of the nucleus, and this interaction is fine-tuned by post-translational acetylation of TRIM29, see [1]. It has been suggested that TRIM29 is involved in the response to DNA damage through its regulation of p53 and that it could potentially function as an oncogene that promotes tumor growth, see [2]. Immunohistochemical analysis has showed that the expression of TRIM29 is increased in most invasive pancreatic cancers and is correlated with high expression levels of β catenin, see [3]. A clinical study in gastric cancer has also shown that TRIM29 expression correlates with poor histological grade, large tumor size, extensive tumor invasion and lymph node metastasis, see [4]. Recently, TRIM29 has been shown to function as a tumor suppressor in breast cancer, see [5].

This APP can be used for quantifying the cytoplasmic expression of TRIM 29. A very high correlation to manual scoring, in a study involving 300 patients (R2 = 0.78), was demonstrated (publication pending).

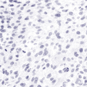
Figure 1

Figure 1

Field of view showing a tumor region in an image of a bladder tissue TMA core stained by IHC for TRIM29.

Figure 2

Figure 2

The same field of view as in FIGURE 1 after automatic color deconvolution isolating the Hematoxylin staining, and thereby highlighting all cell nuclei.

Figure 3

Figure 3

The same field of view as in FIGURE 1 after automatic color deconvolution isolating the DAB staining, and thereby highlighting the TRIM29-positive cytoplasm.

Figure 4

Figure 4

The same field of view as in FIGURE 1 after automatic segmentation of all nuclei (blue label) and intense TRIM29-positive cytoplasm (red label).

Details

Quantitative Output variables

The output variables obtained from this protocol include:

  • ROI Area: Total area of the outlined tumor ROI
  • Cytoplasmic Area = ROI Area – Area of Nuclear Profiles
  • Positive Cytoplasmic Area: Area within ROI with DAB intensity above defined threshold
  • Positive Area Fraction = Positive Cytoplasmic Area / Cytoplasmic Area
  • Cyt Intensity = 255 – average DAB intensity for Positive Cytoplasmic Area

Methods

The method used for computing the TRIM 29 expression is based on the color deconvolution of Hematoxylin, isolating all the nuclei within the tumor region (see FIGURE 2). A second color deconvolution is used to isolate DAB within the tumor region (see FIGURE 3). The DAB intensity threshold is used to determine positivity versus negativity of the cytoplasmic expression. Note that both color deconvolution bands have been smoothed to reduce high-frequency noise, including the blocking that originates from the JPEG compression of the digital slide.

From the segmentation, the average DAB intensity across all positive cytoplasm areas is measured and subtracted from 255. This is done to associate high values with a high staining intensity, which is more intuitive.

It should be noted that this approach to quantifying biomarker expression is vulnerable to variations in protocols for tissue preparation (fixation time, tissue thickness, reagents, auto-stainer type and settings, etc.). Furthermore, the application of this APP for TMA study designs is robust within the TMA.

This APP requires manual outlining of tumor regions

Keywords

TRIM 29, bladder cancer, metastasis, immunohistochemistry, image analysis, quantitative, digital pathology.

References

USERS
This APP was developed for, and validated by, Niels Fristrup MD and Dr. Lars Dyrskjøt Andersen, Center for Molecular Clinical Cancer Research Department of Molecular Medicine (MOMA) Aarhus University Hospital.

LITERATURE
1. Yuan, Z., et. al. The ATDC (TRIM29) protein binds p53 and antagonizes p53 mediated functions, Mol. Cell. Biol. 2010, 30 (12), 3004-15, DOI

2. Hatakeyama, S., et. al. TRIM proteins and cancer, Nat Rev Cancer 2011, 11 (11), 792-804. DOI

3. Wang, L., et. al. Oncogenic function of ATDC in pancreatic cancer through Wnt pathway activation and β-catenin stabilization, Cancer Cell 2009, 15 (3), 207-19, DOI

4. Kosaka, Y., et. al. Tripartite motif-containing 29 (TRIM29) is a novel marker for lymph node metastasis in gastric cancer, Ann. Surg. Oncol. 2007, 14 (9), 2543-9, DOI

5. Liu, J., et. al. TRIM29 Functions as a Tumor Suppressor in Nontumorigenic Breast Cells and Invasive ER+ Breast Cancer, Am J Pathol. 2012, 180 (2), 839-47, DOI

Success
Your message has been successfully sent!
Contact us

We are always ready to answer your questions

Helena Nygaard Regev
Agern Allé 24
2970 Hoersholm, DK
8181 Arista Pl., Suite 100
Broomfield, CO 80021
Broomfield, CO 80021
Broomfield, CO 80021