Toluidine Blue, Neuroscience Toluidine Blue, Neuroscience

Process APP

Revert

#10142

RUO

Toluidine Blue, Neuroscience

This protocol can be used for evaluation of nervous tissue. Nerves consist of sensory, motor, and autonomic nerve axons. Particularly those of larger diameter, are surrounded by myelin. This APP can quantify axon cross-sectional area, myelin thickness, and the G-ratio (axon major axis length / myelin major axis length), which is relevant for the study of neurodegenerative diseases and a variety of neuropathies.

The protocol automatically detects cross sections of nerves. Each nerve section is evaluated for large, small, and degenerated nerve fibers. The small and large nerve fibers are partitioned into axon and myelin and important parameters, as major axis length, are exported per axon.

Figure 1

Figure 1

Macroscopic view of toluidine blue stained nervous tissue.

Figure 2

Figure 2

Automatically detected outline of nerves.

Figure 3

Figure 3

Nervous tissue. Zoom in on Figure 1.

Figure 4

Figure 4

Initial classification of nervous tissue in figure 3.

Figure 5

Figure 5

Post processing enables the detection of small (light green) and large (green) axons for the nerve fibers fully surrounded by myelin.

Figure 6

Figure 6

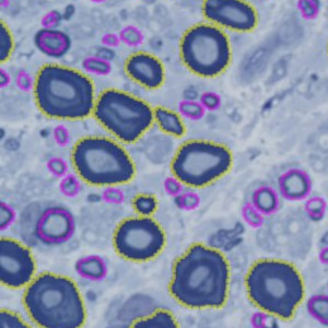
Final identification of the nervous tissue seen in Figure 1. Axons with myelin are detected: Large axon (green), large myelin (red), small axon (light green), small myelin (orange), and degenerate fiber (black).

Figure 7

Figure 7

Regions used for per object calculations. Large nerve fibers (yellow outline) and small nerve fibers (pink outline).

Show more

Details

Quantitative Output variables

The output variables obtained from this protocol are:

  • # Small: number of small axon fibers
  • # Large: number of large axon fibers
  • # Degenerate: number of degenerate axon fibers
  • # Total: total number of axon fibers (#Small + #Large + #Degenerate)
  • Tissue Area: The ROI area
  • Nerve Density: (#Total / Tissue Area)
  • Degenerate Area obj: Area of degenerated axon fibers per object
  • Large Axon Area obj: Area of large axons1
  • Large Myelin Area obj: Area of large axon myelin per object1
  • Small Axon Area obj: Area of small axon per object2
  • Small Myelin Area obj: Area of small axon myelin per object2
  • Large Axon Major Axis Length obj: Major axis length of large axons per object1
  • Large Myelin Major Axis Length obj: Major axis length of large axon myelin per object1

1Per object calculations based on all large axon fibers
2Per object calculations based on all small axon fibers

Workflow

Step 1: Load and run the APP “01 Nerve Detection” for nerve identification or manually outline ROIs.

Step 2: Load and run the APP “02 Nerve Quantification” for quantification of nerve fibers (axon+myelin).

Methods

Initially, myelin bands are enhanced using a local linear filter on the intensity of the toluidine stain. Thin and thick myelin bands are differentiated by using two different filter sizes; a large filter for thick myelin bands and a smaller filter for thin myelin bands. An initial threshold classification is used, followed by post processing steps to clean up false detections of nerve fibers. Lastly, different ROIs are generated for small and large nerve fibers, to enable per object outputs for each individual nerve fiber.

Staining Protocol

Nerves were fixed in 2.5 % glutaraldehyde, placed in 1 % osmium tetroxide, dehydrated through a graded series of ethanol and propylene oxide, cut at 0.5 µm, and stained with toluidine blue.

Keywords

Neuroscience, Toluidine Blue, Nerve, Axons, Myelin, G-ratio, Major Axis Length

References

USERS
This APP was developed for Professor Osvaldo Delbono, Wake Forest School of Medicine.

LITERATURE
There are currently no references.

Success
Your message has been successfully sent!
Contact us

We are always ready to answer your questions

Helena Nygaard Regev
Agern Allé 24
2970 Hoersholm, DK
8181 Arista Pl., Suite 100
Broomfield, CO 80021
Broomfield, CO 80021
Broomfield, CO 80021