Rodent, Pulmonary MCM, AB-PAS Rodent, Pulmonary MCM, AB-PAS

Process APP

Revert

#10070

RUO

Rodent, Pulmonary MCM, AB-PAS

Pulmonary mucous cell metaplasia (MCM) is a remodeling process where bronchial epithelial cells undergo metaplasia to mucous cells. This causes an increased production of mucous, which leads to increased airway obstruction. Mucous cell metaplasia is often observed as a feature of allergic airways disease (e.g. asthma) after exposure to an allergen (e.g. house dust mites). The mucosubstances in the epithelium are identified by staining with Alcian Blue (pH 2.5)/Periodic Acid-Schiff (AB/PAS or AB-PAS). Using this APP the degree of mucous cell metaplasia is quantified in pulmonary bronchioles as the volume of mucosubstances per length of basal lamina. 

Figure 1

Figure 1

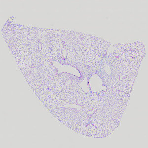
Rodent lung after exposure to house dust mite (HDM), stained with AB/PAS.

Figure 2

Figure 2

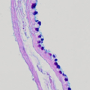
Close-up of the lung tissue with manually outlined region of interest.

Figure 3

Figure 3

Results of analysis with the APP: “01 Tissue Detect”. The background (white), epithelial tissue (bright pink) and the remaining tissue (dark pink) are marked inside the ROI.

Figure 4

Figure 4

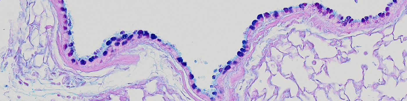
Close-up of lung tissue.

Figure 5

Figure 5

Results of analysis with the APP: “02 Mucous Detect”. The bright blue label identifies the basal lamina, and the dark blue label identifies the intraepithelial mucosubstances. The bright pink label denotes the epithelial tissue, and the dark pink denotes the remaining tissue.

Show more

Details

Auxiliary APPs

APP: “01 Tissue detect”

APP: “03 Analyze”

Quantitative Output variables

The output variables obtained from this protocol are:

  • Basal Lamina Length: The length of the basal lamina
  • Epithelial Tissue Area: The area of epithelial tissue
  • Mucous area: The area of mucous
  • Mucous per Basal Lamina: Mucous area / Basal Lamina Length. Quantification of MCM defined as the ratio of mucous area relative to the basal lamina length.
  • Mucous per Epithelial Tissue: Mucous area / Epithelial Tissue Area
  • Epithelial Tissue per Basal Lamina: Epithelial Tissue Area / Basal Lamina Length

Workflow

Step 1: Manually outline the region of interest (ROI). Multiple ROI’s can be outlined; however, each ROI should contain only one lumen (see FIGURE 2).

Step 2: Load the APP for tissue detection “01 Tissue Detect” which outlines the background, epithelial tissue and remaining tissue.

Step 3: Load the APP for mucous detection “02 Mucous Detect” which identifies the basal lamina and mucosubstances inside the epithelial tissue.

Step 4: Load the quantification protocol “03 Analyze”. Click the save button to transfer the results to the database.

Methods

The first image processing step takes place inside the manually outlined general region of interest (ROI), and involves the segmentation of the tissue into epithelial tissue and remaining tissue as shown in figure 3. Secondly, the basal lamina is identified as the border between the epithelial tissue and the remaining tissue (see FIGURE 5). Afterwards the intraepithelial mucosubstances are identified based on a linear Bayesian classification combined with prior knowledge of the size of mucusubstances (see FIGURE 5.) Finally, relevant output parameters, such as the basal lamina length and the mucous area, are quantified.

Staining Protocol

The staining protocol has not been specified.

Keywords

Mucous cell metaplasia, pulmonary, lung, AB/PAS, AB-PAS, airway disease, quantitative, image analysis.

References

LITERATURE
There are currently no references.

Success
Your message has been successfully sent!
Contact us

We are always ready to answer your questions

Helena Nygaard Regev
Agern Allé 24
2970 Hoersholm, DK
8181 Arista Pl., Suite 100
Broomfield, CO 80021
Broomfield, CO 80021
Broomfield, CO 80021