Rat, Joint Damage, H&E Rat, Joint Damage, H&E

Process APP

Revert

#10026

RUO

Rat, Joint Damage, H&E

Surgically-induced knee joint instability in rats by transection of the Anterior Cruciate Ligament (ACLT), partial medial Meniscectomy (pMx) or a combination of both (ACLTpMx), is one of the most commonly used experimental animal models of osteoarthritis (OA), see [1],[2]. It shows very similar anatomical location and histopathological features as the human disease. The model is suitable for studying basic pathophysiological aspects of OA and for the pharmaceutical development of disease-modifying drugs.

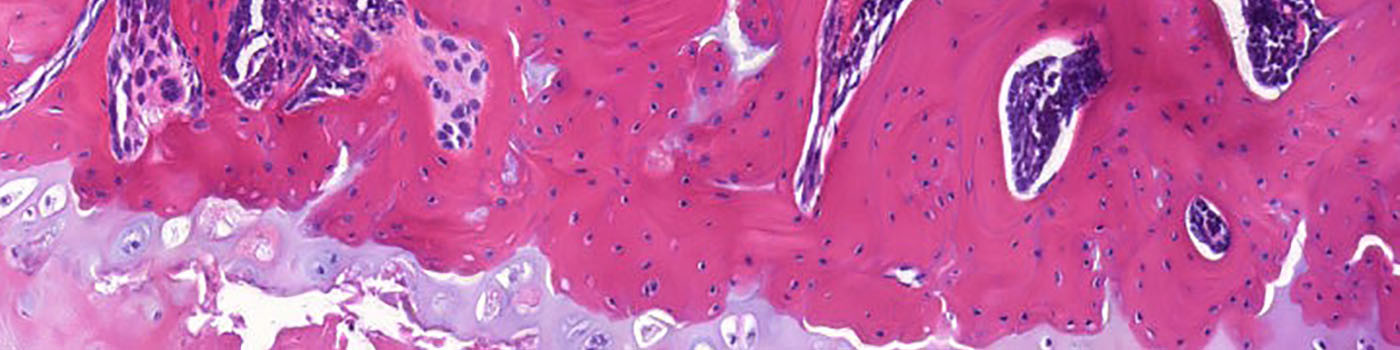
The severity of joint destruction can best be demonstrated in coronal histological sections of the whole knee joint; stained with Hematoxilin-Eosin (or Safranin-O-Fast Green, see related APP no. 10027). The most important histopathological hallmarks are surface fibrillation and erosion of the articular cartilage, decrease in chondrocyte number, loss of proteoglycan staining and a sclerosis (thickening) of the subchondral bone plate.

Traditionally, the evaluation of the severity of joint damage is done by subjective semi-quantitative grading of the different histopathological features using defined scoring systems, see [3]. However, even with ‘blinding’ of the observers and sample randomization, this methodology is prone to bias, suffers from low sensitivity to change and requires considerable experience in histopathology. On the other hand, quantitative digital histomorphometry of cartilage destruction and subchondral bone sclerosis can offer an objective, less time consuming and more sensitive assessment of OA histopathology, see [4].

This APP can be used for quantifying a number of parameters relating to joint damage: Cartilage volume/area, surface fibrillation, cellularity, and bone sclerosis. The APP has been verified in both age-dependency studies and treatment studies. 

Figure 1

Figure 1

Coronal histological section of rat knee joint, stained with Hematoxilin-Eosin. Analysis box placed at the medial tibia cartilage.

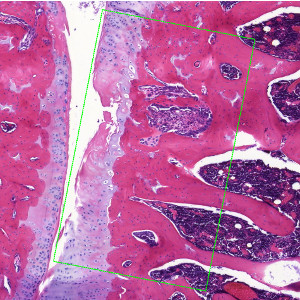
Figure 2

Figure 2

Closeup on medial tibia cartilage with Analysis box

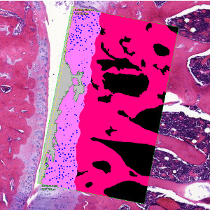
Figure 3

Figure 3

Tissue classified in cartilage, chondrocytes, bone, and bone lacunae. Fibrillation Index measures marked as rulers on cartilage surface.

Details

Quantitative Output variables

The output variables obtained from this APP include:

  • Cartilage area in BOX: Area of cartilage, within Analysis Box
  • Number of chondrocytes in BOX: Number of Chondrocyte profiles, within Analysis Box
  • Solid Bone percent: Percent of solid bone, within Analysis Box
  • Cartilage Surface Length: Length of cartilage border towards the femur, within Analysis Box
  • Cartilage Fibrillation Index = Euclidean Distance/Cartilage Surface Length, within Analysis Box

Methods

This APP can be used on virtual slides with several sections on each slide. Initially an Analysis Box with a predefined size is placed manually at the medial tibia cartilage, including potential lesion area and excluding osteophytes.

Cartilage, bone and chondrocytes are located inside the Analysis Box.

On the cartilage surface towards the femur, the surface length and Euclidean length between measurement points can be obtained for calculation of the Fibrillation Index.

Staining Protocol

Execution of this APP is dependent on the standardized staining protocol ‘10026 – Rat knee joint, Hematoxilin-Eosin, Joint Damage – Staining Protocol‘, developed by, Dr. Karl Rudolphi and Rolf Keiffer, Sanofi Deutschland GmbH, R&D Aging, Quality of Life.

The protocol is made available electronically upon purchase of the APP.

Keywords

Osteoarthritis, Joint, knee, Rat, Hematoxilin-Eosin, ACLT, pMx, ACLTpMx, Cartilage, Chondrocytes, Fibrillation, Bone sclerosis, quantitative, digital pathology, image analysis.

References

USERS
This APP was developed for, and validated by, Dr. Karl Rudolphi and Rolf Keiffer, Sanofi Deutschland GmbH, R&D Aging, Quality of Life

LITERATURE
1. Gerwin, N., et. al., The OARSI histopathology initiative – recommendations for histological assessments of osteoarthritis in the rat, Osteoarthritis & Cartilage 2010, 18 (S3), S24-34, DOI

2. Hayami, T., et. al., Characterization of articular cartilage and subchondral bone changes in the rat anterior cruciate ligament transection and meniscectomized models of osteoarthritis, Bone 2006, 38 (2), 234-243, DOI

3. Pritzker, K.P., et. al., Osteoarthritis cartilage histopathology: grading and staging, Osteoarthritis Cartilage 2006, 14 (1), 13-29, DOI

4. Rudolphi, K.A., et. al., Improved assessment by quantitative digital histomorphometry of histopathological changes of articular cartilage in a surgical model of post-traumatic osteoarthritis of the knee joint in rats, Osteoarthritis & Cartilage 2012, 20, S71-S128, DOI

Success
Your message has been successfully sent!
Contact us

We are always ready to answer your questions

Helena Nygaard Regev
Agern Allé 24
2970 Hoersholm, DK
8181 Arista Pl., Suite 100
Broomfield, CO 80021
Broomfield, CO 80021
Broomfield, CO 80021