PSR, Liver Fibrosis, AI (Rodent) PSR, Liver Fibrosis, AI (Rodent)

Process APP

Revert

#10156

RUO

PSR, Liver Fibrosis, AI (Rodent)

DEVELOPED TO SUPPORT THE STAGING OF FIBROSIS FOR NAFLD AND NASH USING PSR IN RODENTS

In the development of medical knowledge within non-alcoholic fatty liver disease (NAFLD) and the more progressive form non-alcoholic steatohepatitis (NASH), it has been identified that biopsy evaluation is important for NAFLD treatment [1]. The condition is confirmed using the histopathological NAFLD Activity Score (NAS), which grades the severity of steatosis, hepatocellular ballooning degeneration, and inflammation. In addition, fibrosis is evaluated using a separate validated staging system. However, histopathological disease scoring systems are subjective and prone to inter- and intra-observer variation [2]. This Animal Research APP uses a deep learning-based strategy to obtain an accurate and objective method for scoring fibrosis in mouse models of NAFLD and NASH

This APP implements the Brunt fibrosis staging system [3] adapted for mouse models using a Picrosirius Red (PSR) stained section6. The work of this APP has been published as an abstract and as a poster on 17th European Congress of Toxicologic Pathology (ESTP 2019) and at the American Association for the Study of Liver Diseases 2019 (AASLD) [4].

For research use only. Not for use in diagnostic procedures.

Figure 1

Figure 1

PSR stained liver tissue with a central vein.

Figure 2

Figure 2

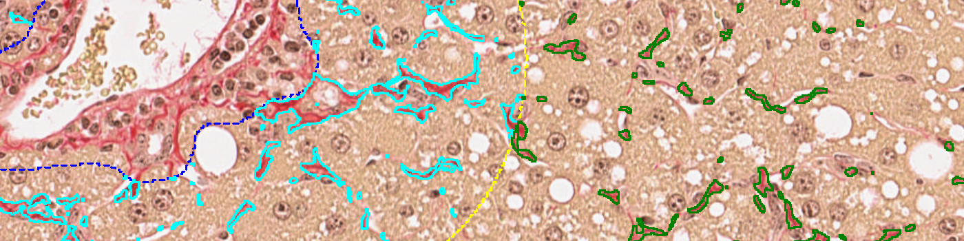
PSR stained liver tissue with an identified central vein shown in red. This allows for exclusion of vein wall fibrosis.

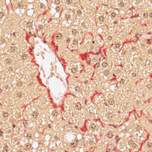
Figure 3

Figure 3

PSR stained liver tissue with a portal triad.

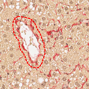
Figure 4

Figure 4

PSR stained liver tissue with an identified portal triad shown in blue. The periportal space is defined and shown in yellow.

Figure 5

Figure 5

PSR stained liver tissue with fibrosis.

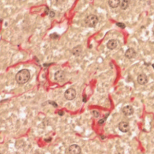
Figure 6

Figure 6

PSR stained liver tissue with identified fibrosis. Fibrosis in the perisinusoidal space is shown in green and the fibrosis in the periportal space is shown in turquoise.

Figure 7

Figure 7

PSR stained liver tissue with fibrosis.

Figure 8

Figure 8

PSR stained liver tissue with identified bridging fibrosis shown in grey.

Show more

Details

Quantitative Output variables

The output variables obtained from this APP are:
• Fibrosis score: A score in the interval [0,1,2,3] using the perisinusoidal, periportal and bridging fibrosis.

Workflow

The APP contains six protocols:
Step 1: Load and run the APP “01 Tissue detection” for tissue detection
Step 2: Load and run the APP “02 Central vein & portal triad detection” for central vein and portal triad detection
Step 3: Load and run the APP “03 Fibrosis in periportal space” to detect fibrosis in periportal space
Step 4: Load and run the APP “04 Fibrosis in perisinusoidal space” to detect fibrosis in perisinusoidal space.
Step 5: Load and run the APP “05 Bridging in perisinusoidal space” to detect bridging fibrosis in perisinusoidal space.
Step 6: Load and run the APP “06 Fibrosis score” to calculate the score using the quantification of the previous APPs.

Methods

The APP contains five protocols:

• “01 Tissue detection”: Liver tissue is outlined using threshold-based image analysis (IA).
• “02 Central vein and portal triad detection”: A deep learning network DeepLabv3+ [5] available with AuthorTM AI is used to detect central veins and portal triads. Since DeepLabv3+ utilizes atrous spatial pyramid pooling, this network architecture is powerful to segment objects when contextual information is important.
• “03 Fibrosis in periportal space”: Fibrosis is calculated in the periportal space using traditional image analysis. .
• “04 Fibrosis in perisinusoidal space”: Fibrosis is calculated in the perisinusoidal space using traditional image analysis.
• “05 Bridging in perisinusoidal space”: Bridging fibrosis is detected in the perisinusoidal space using using traditional image analysis.
• “06 Fibrosis score”: Calculates the fibrosis score using the quantification of perisinusoidal, periportal and bridging fibrosis.

Additional information

To run the APP, a NVIDIA GPU with minimum 4 GB RAM is required.
The APP utilizes the Visiopharm Engine™ AI and Viewer software modules, where Engine™ AI offers an execution platform to expand processing capability and speed of image analysis. The Viewer allows a fast review together with several types of image adjustment properties e.g. outlining of regions, annotations and direct measures of distance, curve length, radius, etc.
By adding the Author™ AI module the APP can be customized to fit other purposes. Author™ AI offers a comprehensive and dedicated set of tools for creating new fit-for-purpose analysis APPs, and no programming experience is required.

Keywords

Scoring, Non-alcoholic Fatty Liver Disease, NAFLD, Non-alcoholic Steatohepatitis, NASH, Deep Learning, AI, Picrosirius Red, PSR, Mouse, NAFLD Activity Score, NAS, Digital Pathology

References

[1] Spengler, E. K. & Loomba, Rohit. Recommendations for diagnosis, referral for liver biopsy, and treatment of nonalcoholic fatty liver disease and nonalcoholic steatohepatitis. Mayo Clinic Proceedings, 2015, 90 (9), 1233–1246. https://doi.org/10.1016/j.mayocp.2015.06.013
[2] Pournik, O., et al. Inter-observer and intra-observer agreement in pathological evaluation of non-alcoholic fatty liver disease suspected liver biopsies. Hepatitis Monthly, 2014, 14 (1), 3–6. https://doi.org/10.5812/hepatmon.15167.
[3] Brunt, E. M., et al. Nonalcoholic steatohepatitis: A proposal for grading and staging the histological lesions, 1999, 94 (9), 2467–2474. DOI: 10.1111/j.1572-0241.1999.01377.x
[4] Overgaard, A., et al. Histopathological scoring of non-alcoholic fatty liver disease using deep learning. Hepathology. 2019, 70 (S1), abstract no.1754. https://aasldpubs.onlinelibrary.wiley.com/doi/10.1002/hep.30941
[5] Chen, L., et al. Encoder-decoder with atrous separable convolution for semantic image segmentation. Proceedings of the European conference on computer vision (ECCV) 2018, 801–181, arXiv:1802.02611

Success
Your message has been successfully sent!
Contact us

We are always ready to answer your questions

Helena Nygaard Regev
Agern Allé 24
2970 Hoersholm, DK
8181 Arista Pl., Suite 100
Broomfield, CO 80021
Broomfield, CO 80021
Broomfield, CO 80021