PD-L1+SOX10, Melanoma, TME PD-L1+SOX10, Melanoma, TME

Process APP

Revert

#10125

RUO

PD-L1+SOX10, Melanoma, TME

Programmed death-ligand 1 (PD-L1) is a transmembrane protein that binds to the inhibitory receptor programmed death 1 receptor (PD-1), causing a down regulation of immune responses. PD-L1 is typically expressed on normal cells but has been observed in immune cells and tumor cells, see [1]. while PD-1 is typically expressed on cytotoxic T-cells and other immune cells. Tumor cells can upregulate PD-L1 expression and avoid being attacked by the body’s immune system, making an interruption of the PD-1/PD-L1 interaction an attractive method for assisting the immune system in destroying tumor cells, see [2].

SOX10 is a nuclear transcription factor that has been shown to be a sensitive and specific marker for malignant melanoma, see [3]. Combining SOX10 and PD-L1 enables the user to assess whether PD-L1 expression originates from tumor cells or adjacent non-tumor cells.

This APP can be used to determine the number of tumor and non-tumor cells that express PD-L1 without having to outline tumor regions.

Figure 1

Figure 1

Overview of a single PD-L1+SOX10 stained TMA core with melanoma tissue.

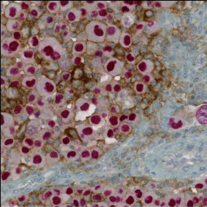
Figure 2

Figure 2

Region of the core on the original image. SOX10 positive nuclei are red and PD-L1 is brown.

Figure 3

Figure 3

Region of the core after PD-L1+SOX10 analysis with labels. SOX10+/PD-L1-: Pink, SOX10+/PD-L1+: Red, SOX10-/PD-L1-: Blue, SOX10-/PD-L1+: Purple, and SOX10+ influenced by SOX10-/PD-L1 in Orange.

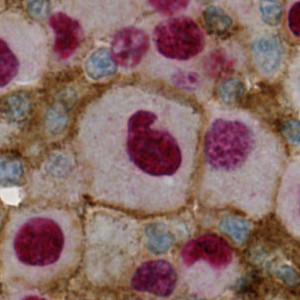
Figure 4

Figure 4

Close-up of tissue area on the original image.

Figure 5

Figure 5

Same area as shown in FIGURE 4 after analysis with labels showing: SOX10+/PD-L1+: Red, SOX10-/PD-L1+: Purple, and SOX10+ influenced by SOX10-/PD-L1 in Orange.

Show more

Details

Quantitative Output variables

The output variables obtained from this protocol are:

  • Neg Stromal Cells: Number of SOX10-/PD-L1- cells
  • Neg Tumor Cells: Number of SOX10+/PD-L1- cells
  • PD-L1 Positive Stromal Cells: Number of SOX10-/PD-L1+ cells
  • PD-L1 Influenced Tumor Cells: Number of SOX10+ cells influenced by SOX10-/PD-L1+ cells
  • PD-L1 Positive Tumor Cells: Number of SOX10+/PD-L1+ cells
  • Total Stromal Cells: Sum of SOX10- cells
  • Total Tumor Cells: Sum of SOX10+ cells
  • PD-L1 Tumor Percentage: Percentage of SOX10+/PD-L1+ cells
  • PD-L1 Influenced Percentage: Percentage of SOX10+ cells influenced by SOX10-/PD-L1+ cells
  • PD-L1 Stromal Percentage: Percentage of SOX10-/PD-L1+ cells

Workflow

Run the APP. Click the save button to transfer the results to the database.

Methods

Based on an AEC red enhanced input band, SOX10 positive nuclei are classified using a combination of polynomial blob- and local linear filters. SOX10 negative nuclei are classified in the same manner but using a hematoxylin input band. Membranes are detected using two different scales of polynomial local linear filters on green/blue contrast and brown chromogen input bands. Postprocessing steps grow the nuclei blobs and combine/separate adjacent nuclei appropriately to match the input band. The classified PD-L1 positive membrane staining is verified by size, shape and intensity constraints and then applied to the adjacent cells to quantify the number of PD-L1 positive cells. An algorithm evaluates PD-L1 expression shared between SOX10 negative and positive cells to determine if tumor cells are truly PD-L1 positive or influenced by adjacent non-tumor cells.

Staining Protocol

There is no staining protocol available.

Keywords

PD-L1, PD-1, T-cell, cancer, oncology, IHC, membrane, skin, melanoma, digital pathology, image analysis, B7-H1, SOX10, hematoxylin

References

USERS
This APP was developed in collaboration with Aalborg University Hospital.

LITERATURE
1. Zou, W., Chen, L. Inhibitory B7-family molecules in the tumour microenvironment, Nature Reviews Immunology 2008, 8 (6), 467-477, DOI.

2.  Pardoll, D. M.The blockade of immune checkpoints in cancer immunotherapy, Nat Rev Cancer 2012, 12 (4), 252-264, DOI.

3. Efternavn, Fornavnsinitialer (evt. et. al.) SOX10: a useful marker for identifying metastatic melanoma in sentinel lymph nodes, Applied Immunohistochemistry & Molecular Morphology 2015, 23 (2), 109-112, DOI.

Success
Your message has been successfully sent!
Contact us

We are always ready to answer your questions

Helena Nygaard Regev
Agern Allé 24
2970 Hoersholm, DK
8181 Arista Pl., Suite 100
Broomfield, CO 80021
Broomfield, CO 80021
Broomfield, CO 80021