PD-L1, Cell Lines, Cancer PD-L1, Cell Lines, Cancer

Process APP

Revert

#10092

RUO

PD-L1, Cell Lines, Cancer

The availability of genetically defined reference materials, offers an industry standard for development and quality control of IHC assays, directly, thereby improving the accuracy and reproducibility. Using engineered cell lines as quality control material to assess the performance of IHC assays eliminates the variability associated with patient-derived reference standards.

This APP can be used for quality control of PD-L1 strong positive, intermediate positive, weak positive and negative cell line material to ensure that each cell line block complies with the expected PD-L1 expression before the material is used as reference standard for IHC assays. The APP quantifies the PD-L1 expression in each cell line core and relates this expression to a known reference value for each cell line expression level.

Figure 1

Figure 1

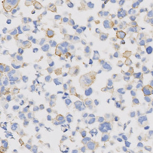
Zoomed in image of a strong postive cell line core.

Figure 2

Figure 2

The image from FIGURE 1, analyzed with the APP. Strong positive nuclei (3+) are labeled red, intermediate (2+) orange, weak (+1) yellow, and negative blue.

Figure 3

Figure 3

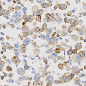
Zoomed in image of an intermediate positive cell line core.

Figure 4

Figure 4

The analyzed intermediate positive cell line core in FIGURE 3, demonstrating the detection of the varying staining intensity. Strong positive nuclei (3+) are labeled red, intermediate (2+) orange, weak (+1) yellow, and negative blue.

Figure 5

Figure 5

Zoomed in image of the weak positive cell line core.

Figure 6

Figure 6

The analyzed weak positive cell line core in FIGURE 5, demonstrating the detection of the varying staining intensity. Strong positive nuclei (3+) are labeled red, intermediate (2+) orange, weak (+1) yellow, and negative blue.

Figure 7

Figure 7

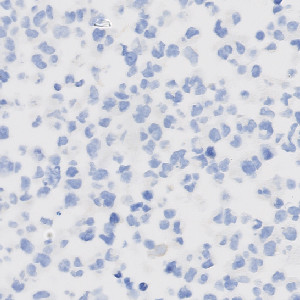
Negative cell line core.

Figure 8

Figure 8

The analyzed negative cell line core in FIGURE 7.

Show more

Details

Quantitative Output variables

The output variables obtained from this protocol are:

  • Neg Nuclei (#): The number of negative nuclei.
  • 1+ Nuclei (#): The number of 1+ classified nuclei.
  • 2+ Nuclei (#): The number of 2+ classified nuclei.
  • 3+ Nuclei (#): The number of 3+ classified nuclei.
  • Positive Percentage: The percentage of positive nuclei profiles.
  • H-score: (Percentage of 3+) x 3 + (Percentage of 2+) x 2 + (Percentage of 1+).
  • Category: 0 if the cell line core is negative according to the reference H-score level for the PD-L1 negative cell line core, 1 if the cell line core is weak positive according to the reference H-score level for the PD-L1 weak positive cell line core, 2 if the cell line core is intermediate positive according to the reference H-score level for the PD-L1 intermediate positive cell line core, and if the cell line core is strong positive according to the reference H-score level for the PD-L1 strong positive cell line core.

Methods

The first image processing step involves a segmentation of all nuclei in the ROI  (see FIGURE 2 and 3). This is done by using an HDAB-DAB color deconvolution band to detect positively stained nuclei and the Haematoxylin-HDAB color deconvolution band to detect negative nuclei. The color deconvolution bands are input to a K-means classifier.  A method for nuclei separation which is based on shape, size and nuclei probability is used, employing a fully automated watershed-based nuclei segmentation technique. Then the positive nuclei are subdivided into three categories based on staining intensities.  As a post-processing step, nuclei areas that are too small are removed. The image obtained after post-processing (see e.g. FIGURE 3), is used for quantifying the PD-L1 expression in each cell line core based on the H-score. As a final step the H-score is related to a known reference value for each cell line expression level.

Staining Protocol

There is no staining protocol available.

Keywords

PD-L1, cell line, quality control, reference standards, image analysis.

References

USERS
The APP was developed for Horizon cell lines.

LITERATURE
There are currently no references.

Success
Your message has been successfully sent!
Contact us

We are always ready to answer your questions

Helena Nygaard Regev
Agern Allé 24
2970 Hoersholm, DK
8181 Arista Pl., Suite 100
Broomfield, CO 80021
Broomfield, CO 80021
Broomfield, CO 80021