NT, Melanoma, TME NT, Melanoma, TME

Process APP

Revert

#10135

RUO

NT, Melanoma, TME

NT (nitrotyrosine) is generated on the tyrosine residues in the specific proteins, which represents a marker of oxidative stress associated with protein dysfunction. Increased nitrotyrosine expression in tumor cells predicts poor outcome of the disease. Immunohistochemical detection of increased levels of protein-associated nitrotyrosine is widely used as a surrogate marker of in situ inflammation.The “10135 – NT, Melanoma, TME” APP detects nuclei and classifies them as either negative, 1+, 2+ or 3+ based on the NT staining expression present in each nucleus’ vicinity.

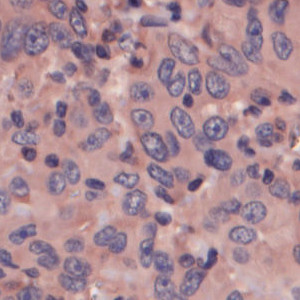
Figure 1

Figure 1

Nuclei surrounded by intermediate and strong NT positive staining.

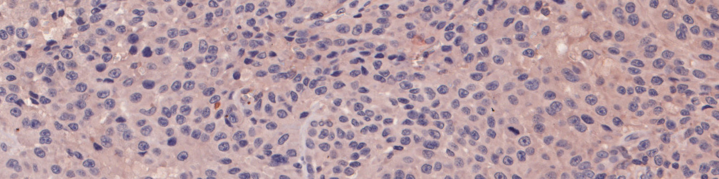
Figure 2

Figure 2

Nuclei classified as 2+ (orange) or 3+ (red) based on the NT staining of each nucleus’ surroundings.

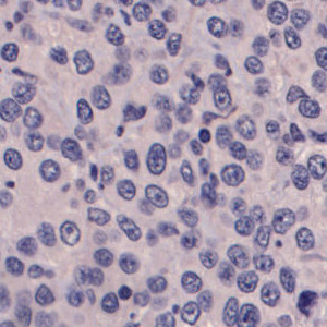
Figure 3

Figure 3

Nuclei surrounded by NT negative and weak NT positive.

Figure 4

Figure 4

Nuclei classified as negative (blue) or 1+ (yellow) based on the NT staining of each nucleus’ surroundings.

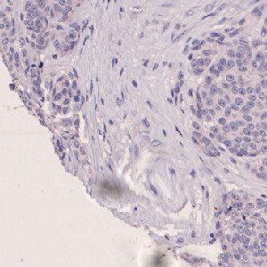
Figure 5

Figure 5

Sample with stromal and tumor tissue.

Figure 6

Figure 6

Tumor and stroma identification by auxiliary APP. Stroma regions are outlined by a red region of interest (ROI) and tumor regions by a blue ROI. Quantitative output variables such as H-score is given for stroma and tumor region individually.

Show more

Details

Auxiliary APPs

APP: “01 Detect TumorStroma”
The auxiliary APP: “01 Detect TumorStroma” is used for automatic tumor and stromal tissue detection. The analysis APP will then provide results for tumor and stromal tissue separately.

Quantitative Output variables

The output variables obtained from this protocol include:

  • Number and percentage of negative, 1+, 2+, and 3+ cells in both stromal and tumor tissue
  • H-score = (% of 3+)x3 + (% of 2+)x2 + (% of 1+) for both stromal and tumor tissue

Workflow

Step 1: Load and run the APP “01 Detect TumorStroma” for tumor and stromal tissue identification. Manually correct result if needed.

Step 2: Load and run the APP “02 NT Analysis” for the quantification of cells.

Methods

To identify the nuclei, the APP performs a two-stage polynomial blob filtering on a blue-enhanced feature image and delimits them using local linear filtering. Each pixel with DAB staining is classified as low, mid and high based on the intensity and grouped together locally. Each nucleus is then classified based on its surroundings in the order of 3+, 2+, 1+ and negative to emphasize the strongest staining present in each nucleus’ vicinity.

Staining Protocol

There is no staining protocol available.

Keywords

NT, nitrotyrosine, melanoma, skin, cancer, oncology, IHC, tumor micro environment

References

LITERATURE
There are currently no references.

Success
Your message has been successfully sent!
Contact us

We are always ready to answer your questions

Helena Nygaard Regev
Agern Allé 24
2970 Hoersholm, DK
8181 Arista Pl., Suite 100
Broomfield, CO 80021
Broomfield, CO 80021
Broomfield, CO 80021