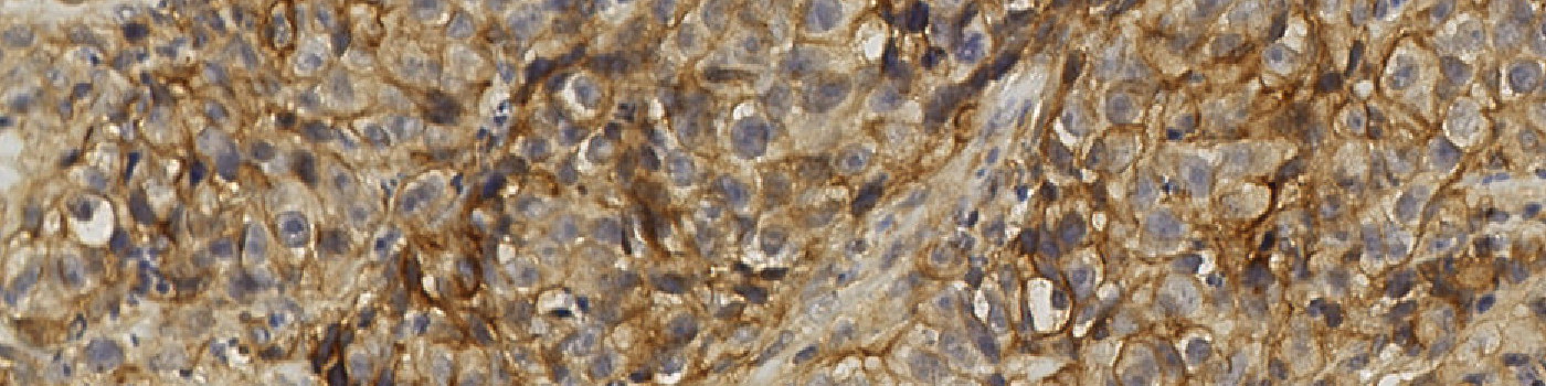
Field of view showing a tumor region in an image of a breast tissue section analyzed by IHC for NBCN1.
#10008
Mammalian sodium/proton exchangers (Na+/H+) and the Na+, HCO3–cotransporter (NBCN1) in MCF-7 human breast cancer cells, function in intracellular pH (pHi) and cell volume homeostasis by catalyzing an electroneutral exchange of extracellular sodium and intracellular hydrogen. NBCn1 exerts net acid extrusion, could contribute to malignant cancer phenotypes in the same manner as NHE1.
This APP can be used for quantification of NBCN1 membrane immunoreactivity. The parameters used in the APP allow measurement of the expression of sodium/proton exchangers at the plasma membrane in tissue sections. As the function of sodium/proton exchangers relates to their localization, quantitative assessment of localized expression will presumably correlate with function. Comparison of matched sets of samples (e.g. tumors versus normal) allows correlation of expression as a function of (disease) status.
Quantitative Output variables
The output from this APP consists of three measured endpoints:
The connectivity is calculated from the size distribution of stained membrane fragments within the ROI, where the size of a membrane fragment is defined as the area of the pixels it is composed of (see [1]).
The combination of membrane area for stained membranes, mean stain intensity and the connectivity allows for an accurate evaluation of mean membrane expression in tissue sections.
Methods
To detect the membrane, a DAB color deconvolution of the image is used as input feature together with a polynomial local linear filter. As a post processing step, membrane fragments that are too small are removed. Finally the detected membrane is outlined with a label and used to calculate the quantitative output.
Keywords
Breast cancer, sodium/proton exchangers, NBCN1, membrane area, mean stain intensity, membrane connectivity, quantitative, digital pathology, image analysis.
References
LITERATURE
1. Brügmann, A., et. al. Digital image analysis of membrane connectivity is a robust measure of HER2 immunostains, Breast Cancer Res Treat 2012, 132 (1), 41-9, DOI
2. Lauritzen, G., et. al. NBCn1 and NHE1 expression and activity in ΔNErbB2 receptor-expressing MCF-7 breast cancer cells: Contributions to pHi regulation and chemotherapy resistance, Experimental Cell Research 2010, 316 (15), 2538-2553, DOI