Ki-67, Neuroendocrine Neoplasm Ki-67, Neuroendocrine Neoplasm

Process APP

Revert

#10143

RUO

Ki-67, Neuroendocrine Neoplasm

The Ki-67 protein is associated with cellular proliferation, and the protein is present in the nucleus of all cells that are in the active phase of the cell cycle, but absent in resting cells, see [1].  The cell proliferation rate can be assessed by Ki-67-immunohistochemical (IHC) staining, and this can be correlated to the tumor grade and the clinical course. Ki-67 proliferative index is suggested to be an important prognostic variable and is used as a grading parameter for neuroendocrine neoplasms, see [2]

The APP detects Ki-67 negative and positive nuclei, classifies the positive nuclei into 1+, 2+ and 3+ categories, and calculates the proliferation index for neuroendocrine tissue stained for Ki-67.

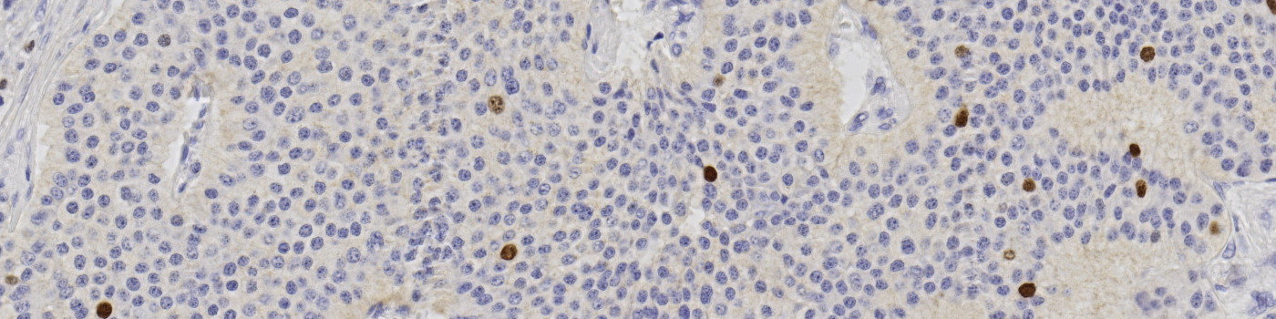
Figure 1

Figure 1

Original image of Ki-67 stained neuroendocrine neoplasm.

Figure 2

Figure 2

Analyzed image of Ki-67 stained neuroendocrine neoplasm with automatic tumor outline.

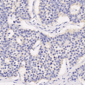
Figure 3

Figure 3

Original image of Ki-67 negative neuroendocrine neoplasm.

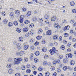
Figure 4

Figure 4

Analyzed image of Ki-67 negative neuroendocrine neoplasm, negative nuclei shown in blue.

Figure 5

Figure 5

Original image of neuroendocrine neoplasm nuclei presenting different Ki-67 staining intensities.

Figure 6

Figure 6

Analyzed image of neuroendocrine neoplasm nuclei presenting different Ki-67 staining intensities labeled as 1+ (yellow), 2+ (orange) and 3+ (red).

Show more

Details

Quantitative Output variables

The output variables obtained from this protocol include:

  • Neg Nuclei (#): The number of negative nuclei
  • 1+ Nuclei (#) and (%): The number and percentage of low-positive Ki-67 nuclei
  • 2+ Nuclei (#) and (%): The number and percentage of mid-positive Ki-67 nuclei
  • 3+ Nuclei (#) and (%): The number and percentage of high-positive Ki-67 nuclei
  • Pos Nuclei (#): The total number of Ki-67 positive nuclei
  • Total Nuclei (#): The total number of nuclei
  • Proliferation Index (%) = Pos Nuclei (#) / Total Nuclei (#) * 100

Workflow

Step 1: Load and run the APP “01 Tumor Detection” to outline tumor ROIs and adjust manually as needed.

Step 2: Load and run the APP “02 Analyze” to analyze nuclei in tumor region(s).

Methods

The APP works within an automatically or manually outlined tumor region of interest (ROI). The first image processing step involves a segmentation of all nuclei in the ROI. This is done by using an HDAB-DAB color deconvolution band to detect positively stained nuclei and a multiplication of the red and blue color band to detect negative nuclei. A method for nucleus separation which is based on shape, size and nuclei probability is used, employing a fully automated watershed-based nucleus segmentation technique. As a post-processing step, nuclei areas that are too small are removed. The image obtained after post-processing is used to determine the output variables.

Staining Protocol

There is no staining protocol available.

Keywords

Ki-67, Ki67, proliferation rate, immunohistochemistry, quantitative, digital pathology, image analysis, neuroendocrine, NET

References

USERS
The APP was developed for Ph.D Mohamed Ibrahim, University of Gothenburg.

LITERATURE
1T.Scholzen et al. The Ki-67 protein: from the known and the unknown, J. Cell Physiol 2000, 182 (3), 311-22, DOI.

2Nadler, A., Cukier, M., Rowsell, C., et al. Ki-67 is a reliable pathological grading marker for neuroendocrine tumors, Virchows Archiv 2013, 462 (5), 501-5, DOI.

Success
Your message has been successfully sent!
Contact us

We are always ready to answer your questions

Helena Nygaard Regev
Agern Allé 24
2970 Hoersholm, DK
8181 Arista Pl., Suite 100
Broomfield, CO 80021
Broomfield, CO 80021
Broomfield, CO 80021