Ki-67 APP, Breast Cancer Ki-67 APP, Breast Cancer

Process APP

Revert

#90004

CE-IVD

Ki-67 APP, Breast Cancer

Certified under IVDR

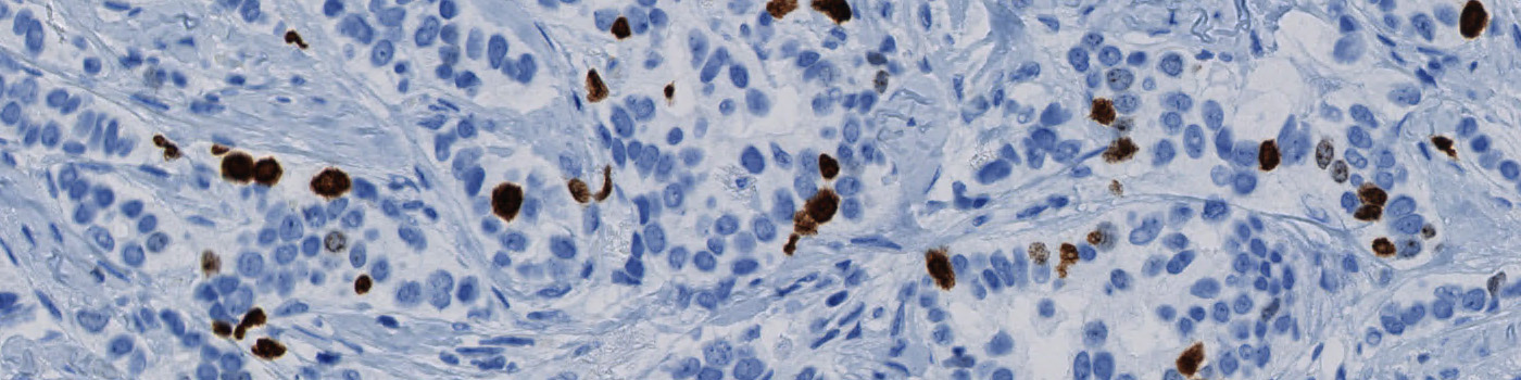
The Ki-67 protein is associated with cellular proliferation and can be assessed by Ki-67-immunohistochemical (IHC) staining. The calculated proliferation index can be correlated to the tumor grade and the clinical course.

Our Ki-67 solution is fully automated and does not require manual input during analysis. The solution consists of four automated analysis steps. Once started, it automatically separates the sample tissue from control tissues and robustly identifies invasive cancer areas in the sample. Tumor nuclei are counted based on their Ki-67 expression and the resulting proliferation index for the whole tumor area is calculated.

In EU/UK: CE IVD – for use in diagnostic procedures

Figure 1

Figure 1

Tissue detection

Detection of sample tissue and exclusion of control tissues.

Figure 2

Figure 2

Invasive tumor detection

Automatic detection of invasive tumor tissue or manual outline of tumor region directly on the Ki-67 slide.

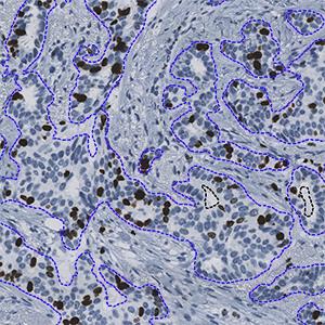
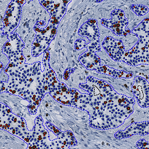
Figure 3

Figure 3

Ki-67 – nuclear detection

Nuclear detection with classification of positive (red) and negative (blue) nuclei based on Ki-67 stain.

Figure 4

Figure 4

Hot Spot & Heat Map

Optional visualization of the proliferation distribution and identification of a customizable hot spot (here shown as a red square).

Details

Quantitative Output variables

The output variables obtained from this protocol are:

  • Neg Nuclei (#): The number of Ki-67 negative nuclei within all ROIs
  • Pos Nuclei (#): The number of Ki-67 positive nuclei within all ROIs
  • Total Nuclei (#): The total number of nuclei within all ROIs
  • Proliferation index (%): The Ki-67 proliferation index

Workflow

Step 1: After scanning, the PACS/LIS/IMS informs the Visiopharm software about the new image and the analysis of the image is automatically started.

Alternatively, the analysis can be started manually by opening the image and starting the analysis.

Step 2: Pathologist review the analyzed image. If needed, adjustments can be made. Once reviewed, pathologists sign off the case in the system.

Additional information

Compatibility

The solution works with stains from Agilent, Roche, and Leica. It can be applied to ductal or lobular breast cancer samples.

Success
Your message has been successfully sent!
Contact us

We are always ready to answer your questions

Helena Nygaard Regev
Agern Allé 24
2970 Hoersholm, DK
8181 Arista Pl., Suite 100
Broomfield, CO 80021
Broomfield, CO 80021
Broomfield, CO 80021