H&E, Liver Steatosis H&E, Liver Steatosis

Process APP

Revert

#10119

RUO

H&E, Liver Steatosis

Liver steatosis or Fatty liver disease (FLD) is a disease that is normally associated with alcoholism or obesity in humans. This reversible condition is an abnormal retention of fat within the hepatocytes and results in an accumulation of triglyceride within the hepatocytes. Macrovesicular steatosis is the most common form of steatosis, where large droplets containing triglycerides displace the nuclei to the periphery. Often macrovesicular steatosis can be present with both large droplets (ld-MaS) and small droplets (sd-MaS), that grow together into a mass.

This protocol can be used to quantify fat within hepatocytes in H&E stained liver sections. The APP detects the total area of liver tissue and quantifies the fat inside the tissue. The identified fat droplets are separated into small-droplets (sd-MaS) and large-droplets (ld-MaS). In the end, the total fat percentage and the fat percentage of each of the two droplet types are given.

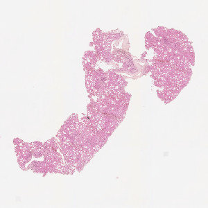
Figure 1

Figure 1

H&E-stained liver tissue.

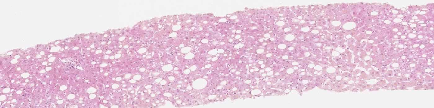
Figure 2

Figure 2

Result of analysis with APP: “01 ROI Detect”. The liver tissue is automatically outlined.

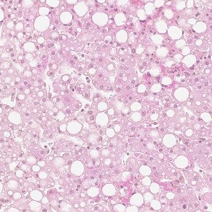
Figure 3

Figure 3

Close up of fatty liver tissue.

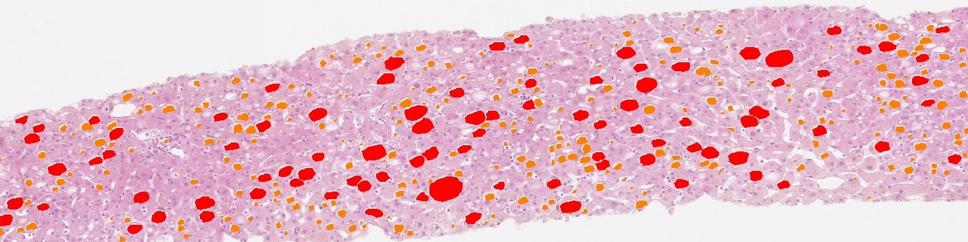
Figure 4

Figure 4

The accumulation of fat inside the liver tissue is identified. The red labels represent large-droplet macrovesicular steatosis (ld-MaS) and the orange labels represent small-droplet macrovesicular steatosis (sd-MaS).

Details

Auxiliary APPs

APP: “01 ROI Detect”
This APP can be used for automatic and precise identification of tissue present on image.

Quantitative Output variables

The output variables obtained from this protocol include:

  • sd-MAS Count: The number of small-droplets inside the liver tissue.
  • ld-MAS Count: The number of large-droplets inside the liver tissue.
  • Fat Percentage: The total fat percentage.
  • sd Percentage: The percentage of sd-MAS inside the tissue area.
  • ld Percentage: The percentage of ld-MAS inside the tissue area.
  • Percentage sd of Fat: The percentage of sd-MAS of fat.
  • Percentage ld of Fat: The percentage of ld-MAS of fat

Workflow

Step 1: Load the APP for tissue detection “01 ROI Detect” which outlines the liver tissue in the image.

Step 2: Load the quantification protocol “02 Analyze” which identifies the fat within the hepatocytes and calculates the fat percentages.

Methods

The first image processing step involves a segmentation of the liver tissue (see FIGURE 2). Afterwards the droplets inside the liver tissue are identified. Based on the shape and size of the droplets they are identified as either small-droplets (sd-MaS) or large-droplets (ld-MaS). By looking at the form factor structures that are too elongated are discarded as being droplets (see FIGURE 4).

Staining Protocol

There is no staining protocol available.

Keywords

Liver steatosis, fatty liver disease, small-droplet, large-droplet, HE, H&E, quantitative, digital pathology, image analysis.

References

LITERATURE
There are currently no references.

Success
Your message has been successfully sent!
Contact us

We are always ready to answer your questions

Helena Nygaard Regev
Agern Allé 24
2970 Hoersholm, DK
8181 Arista Pl., Suite 100
Broomfield, CO 80021
Broomfield, CO 80021
Broomfield, CO 80021