ER APP, Breast Cancer ER APP, Breast Cancer

Process APP

Revert

#90002

CE-IVD

ER APP, Breast Cancer

Certified under IVDR

In immunohistochemistry (IHC), estrogen receptor (ER) is used to determine prognosis and as a predictive marker for anti-estrogen in breast cancer. The American Society of Clinical Oncology/College of American Pathologists (ASCO/CAP) recommends that the ER status of patients is determined on all invasive breast cancers and breast cancer recurrences [1]. It is recommended that the ER status of the tumor is considered positive if there are at least 1 % positive tumor nuclei in a tissue sample.

This APP provides the number of positive nuclei as well as the total number of nuclei. Additionally, intensity of the staining and an Allred Score can be exported.  

The APP works fully automated in an integrated setting, from detecting the patient tissue and invasive tumor tissue to exporting the relevant outputs about the quantified nuclei.

In EU/UK: CE IVD – for use in diagnostic procedures

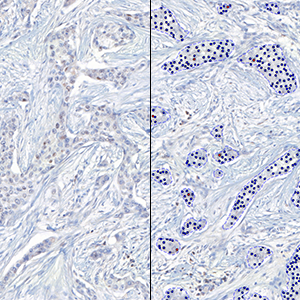
Figure 1

Figure 1

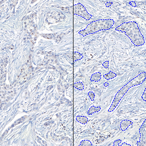
After separating the patient tissue from the control tissue, the APP automatically finds the invasive tumor tissue and distinguishes it from normal tissue, necrosis or carcinoma in situ regions. The APP will disregard any non invasive tissue for further analysis.

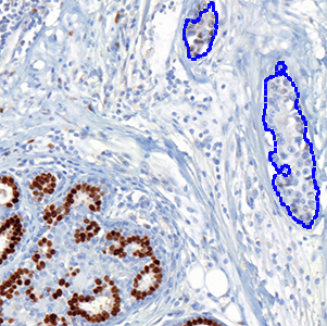
Figure 2

Figure 2

Outlines of identified invasive tissue. Nuclei will be detected and classified inside these regions.

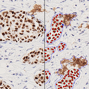
Figure 3

Figure 3

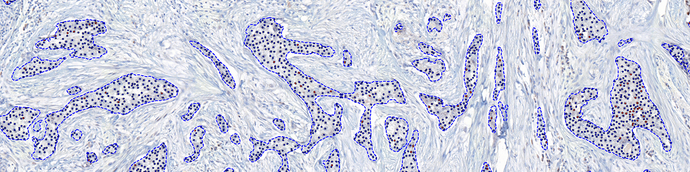
Detection of all nuclei within the ROIs. Positive nuclei are marked with a red (strong), orange (medium) and yellow (weak) label and negative nuclei are marked with a blue label.

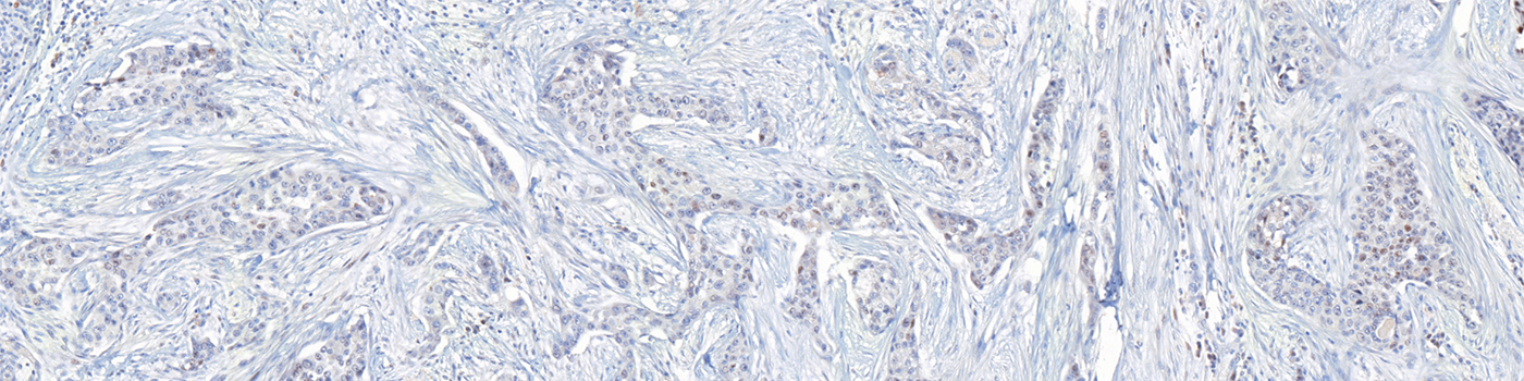
Figure 4

Figure 4

Example of a patient tissue with a high positive percentage.
Artefact areas of excess stain are being ignored.

Details

Quantitative Output variables

The outputs of the device are:

Total Nuclei [#],

which is the total count of detected nuclei in all invasive tissue

Positive Nuclei [%],
which is a value between 0 and 100 and is calculated as

Positive Nuclei [%] = (Number of ER positive nuclei)/(Total number of nuclei) × 100

 

An optional output is the

Allred Score,
which is a value between 0 and 8 and is calculated as

Allred Score = Proportion Score + Intensity Score

where Proportion Score is a value between 0 and 5 which reflects the positive percentage, and Intensity Score is a value between 0 and 3 which reflects the intensity of the ER positive nuclei.

References

1. Allison KH et al., Estrogen and Progesterone Receptor Testing in Breast Cancer: ASCO/CAP Guideline Update. J Clin Oncol. 2020 Apr 20;38(12):1346-1366.  Link

Success
Your message has been successfully sent!
Contact us

We are always ready to answer your questions

Helena Nygaard Regev
Agern Allé 24
2970 Hoersholm, DK
8181 Arista Pl., Suite 100
Broomfield, CO 80021
Broomfield, CO 80021
Broomfield, CO 80021