COX2, Melanoma, TME COX2, Melanoma, TME

Process APP

Revert

#10133

RUO

COX2, Melanoma, TME

The inducible isoform of cyclooxygenase-2 (COX2) is upregulated during both inflammation and cancer, and is described to modulate cell proliferation and apoptosis mainly in solid tumors.

The “10133 – COX2, Melanoma, TME” APP detects nuclei and classifies them as either negative, 1+, 2+ or 3+ based on the COX2 staining expression present in each nucleus’ vicinity.

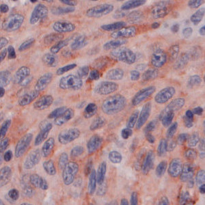
Figure 1

Figure 1

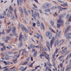
Nuclei surrounded by mixed COX2 staining.

Figure 2

Figure 2

Nuclei in FIGURE 1 classified by APP as negative (blue), 1+ (yellow), 2+ (orange), or 3+ (red) based on the COX2 staining of each nucleus’ surroundings.

Figure 3

Figure 3

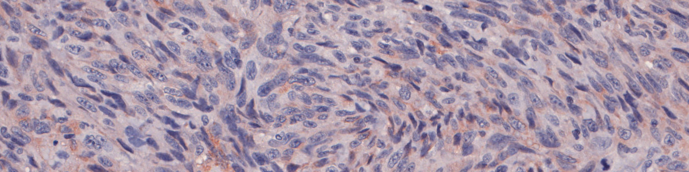
Nuclei surrounded by intermediate and strong COX2 staining.

Figure 4

Figure 4

Classification of nuclei surrounded by intermediate and strong COX2 staining.

Figure 5

Figure 5

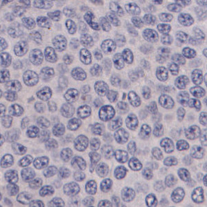
Nuclei surrounded by negative COX2 staining.

Figure 6

Figure 6

Classification of nuclei surrounded by negative COX2 staining.

Figure 7

Figure 7

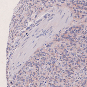
Sample with stromal and tumor tissue.

Figure 8

Figure 8

Tumor and stroma identification by auxiliary APP. Stroma regions are outlined by a red region of interest (ROI) and tumor regions by a blue ROI. Quantitative output variables such as H-score is given for stroma and tumor region individually.

Show more

Details

Auxiliary APPs

APP: “01 Detect TumorStroma”
The auxiliary APP: “01 Detect TumorStroma” is used for automatic tumor and stromal tissue detection. The analysis APP will then provide results for tumor and stromal tissue separately.

Quantitative Output variables

The output variables obtained from this protocol include:

  • Number and percentage of negative, 1+, 2+, and 3+ cells in both stromal and tumor tissue
  • H-score = (% of 3+)x3 + (% of 2+)x2 + (% of 1+) for both stromal and tumor tissue

Workflow

Step 1: Load and run the APP “01 Detect TumorStroma” for tumor and stromal tissue identification. Manually correct the result if needed.

Step 2: Load and run the APP “02 COX2 Analysis” for the quantification of cells.

Methods

To identify the nuclei, the APP performs a two-stage polynomial blob filtering on a blue-enhanced feature image and delimits them using local linear filtering. Each pixel with DAB staining is classified as low, mid and high based on the intensity and grouped together locally. Each nucleus is then classified based on its surroundings in the order of 3+, 2+, 1+ and negative to emphasize the strongest staining present in each nucleus’ vicinity.

Staining Protocol

There is no staining protocol available.

Keywords

COX2, cyclooxygenase, melanoma, skin, cancer, oncology, IHC, tumor micro environment

References

LITERATURE
There are currently no references.

Success
Your message has been successfully sent!
Contact us

We are always ready to answer your questions

Helena Nygaard Regev
Agern Allé 24
2970 Hoersholm, DK
8181 Arista Pl., Suite 100
Broomfield, CO 80021
Broomfield, CO 80021
Broomfield, CO 80021