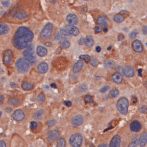
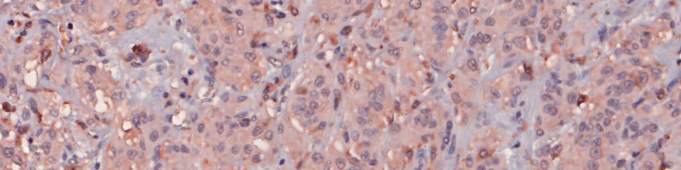
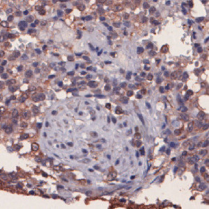
Nuclei surrounded by CD74 negative, low and intermediate staining.
#10130
CD74, also called invariant chain, plays a role in MHC class II antigen presentation for immune response. Its expression in tumor cells has a prognostic value as well as immune response signaling in many tumors. Thus, it has a potential role in the regulation of an anti-tumor immune response, and has also been shown to be expressed in inflammatory disorders and other inflammation-associated cancers.
The “10130 – CD74, Melanoma, TME” APP detects nuclei and classifies them as either negative, 1+, 2+ or 3+ based on the CD74 staining expression present in each nucleus’ vicinity.
Auxiliary APPs
APP: 01 Detect TumorStroma
The auxiliary APP: “01 Detect TumorStroma” is used for automatic tumor and stromal tissue detection. The analysis APP will then provide results for tumor and stromal tissue separately.
Quantitative Output variables
The output variables obtained from this protocol include:
Workflow
Step 1: Load and run the APP “01 Detect TumorStroma” for tumor and stromal tissue identification. Manually correct the result if needed.
Step 2: Load and run the APP “02 CD74 Analysis” for the quantification of cells.
Methods
To identify the nuclei, the APP performs a two-stage polynomial blob filtering on a blue-enhanced feature image and delimits them using local linear filtering. Each pixel with DAB staining is classified as low, mid and high based on the intensity and grouped together locally. Each nucleus is then classified based on its surroundings in the order of 3+, 2+, 1+ and negative to emphasize the strongest staining present in each nucleus’ vicinity.
Staining Protocol
There is no staining protocol available.
Keywords
CD74, melanoma, skin, HLA class II, MHC class II, cancer, oncology, IHC, tumor micro environment
References
LITERATURE
There are currently no references.