CD68 & CD163, Breast Cancer, TME CD68 & CD163, Breast Cancer, TME

Process APP

Revert

#10129

RUO

CD68 & CD163, Breast Cancer, TME

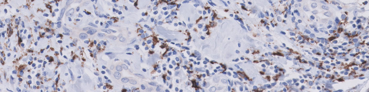
Breast cancer development and progression could be affected by its tumour-associated macrophages (TAMs). More specifically, a disbalance between TAM subtypes: M1-like and M2-like macrophages might lead to unfavourable outcome.
The present APP works on serial section TMAs stained with CD68 and CD163. The APP quantifies the number of positive cells for both stains, which enables the calculation of the M2/M1 ratio as #CD163/(#CD68 – #CD163).

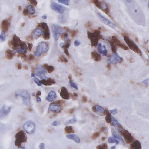
Figure 1

Figure 1

Breast tissue with CD68 positive nuclei.

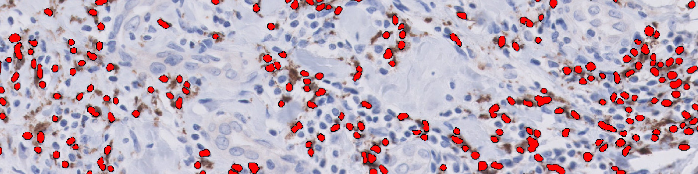
Figure 2

Figure 2

Same tissue as in FIGURE 1 analyzed by the ”01 CD68 Quantification” APP. Red label indicates CD68 positive nuclei.

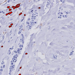
Figure 3

Figure 3

Breast tissue with CD163 negative nuclei.

Figure 4

Figure 4

Same tissue as in FIGURE 3 analyzed by the “02 CD163 Quantification” APP. Red label indicates CD163 positive nuclei.

Figure 5

Figure 5

Breast tissue with CD68 positive nuclei.

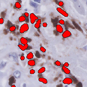
Figure 6

Figure 6

Same tissue as in figure 5 analyzed by the “01 CD68 Quantification” APP. Red label indicates CD68 positive nuclei.

Show more

Details

Auxiliary APPs

APP1: “01 CD68 quantification”
APP2: “02 CD163 quantification”

Quantitative Output variables

The output variables obtained from this protocol are:

  •  #Mtotal: Number of CD68 positive nuclei
  •  #M2: Number of CD163 positive nuclei

From which #M1 can be calculated as:

  •  #M1: The number of #Mtotal – #M2

Workflow

Step 1: De-array the CD68 and CD163 TMAs

Step 2: Load and run the APP “01 CD68 quantification” as a batch process on the CD68 cores

Step 3: Load and run the APP “02 CD163 quantification” as a batch process on the CD163 cores

Methods

First, a pre-processing step enhances the nuclear stain by hematoxylin color deconvolution. Then a blob filter is applied to identify the individual nuclei. During post-processing the individual nuclei are classified as negative or positive based on the amount of surrounding CD68 and CD163 stain. Also, the size of the nuclei is taken into account to exclude tumor cells.

Staining Protocol

There is no staining protocol available.

Keywords

CD68, CD163, Breast cancer, Digital pathology, TMA, Image analysis, Cell quantification, TME

References

USERS
This APP was developed for Dr. Bert Van Der Vegt, University Medical Center Groningen, Netherlands.

LITERATURE
There are currently no references.

Success
Your message has been successfully sent!
Contact us

We are always ready to answer your questions

Helena Nygaard Regev
Agern Allé 24
2970 Hoersholm, DK
8181 Arista Pl., Suite 100
Broomfield, CO 80021
Broomfield, CO 80021
Broomfield, CO 80021